DIGITAL FULL-ARCH IMPLANT

Cấy ghép Implant kỹ thuật số toàn hàm

DIGITAL FULL-ARCH IMPLANT

Cấy phép Implant toàn hàm kỹ thuật số
giúp cải thiện sự bất tiện của răng giả, răng cấy ghép Implant và giúp tiết kiệm chi phí đến hơn 50%
so với các phương pháp cấy ghép Implant khác
Cấy ghép Implant toàn hàm kỹ thuật số
Cấy phép Implant toàn hàm kỹ thuật số

✔ Chỉ cần cấy ghép Implant từ 4-6 cây răng là có thể phục hồi chức năng của hàm răng

Giảm thiểu gánh nặng về chi phí cấy ghép Implant toàn hàm

Cấy ghép toàn hàm đơn giản, răng khỏe và chắc hơn

giúp cải thiện sự bất tiện của răng giả, răng cấy ghép Implant và giúp tiết kiệm chi phí đến hơn 50%
so với các phương pháp cấy ghép Implant khác
Cấy ghép Implant kỹ thuật số toàn hàm
Cấy ghép Implant kỹ thuật số toàn hàm

Chỉ cần cấy ghép Implant từ 4-6 cây răng 

      là có thể phục hồi chức năng của hàm răng

Giảm thiểu gánh nặng về chi phí cấy ghép
      Implant toàn hàm

Cấy ghép toàn hàm đơn giản, răng khỏe và

      chắc hơn

mobile background
01

Cấy ghép Implant toàn hàm, không còn là một cuộc đại phẫu

Mà là quá trình điều trị đơn giản và thông minh hơn nhờ ứng dụng công nghệ kỹ thuật số

Cấy ghép Implant kỹ thuật số toàn hàm thực hiện đơn giản, đau nhứt ít, phục hồi nhanh, nên ngay cả người lớn tuổi cũng có thể dễ dàng tiếp nhận điều trị.


Quy trình thực hiện cấy ghép đơn giản bằng phương pháp không rạch nướu, chỉ mất 5 phút để thao tác cho mỗi cây răng

Rạch toàn bộ nướu và sẽ khâu lại sau khi đã hoàn tất cấy ghép trục Implant


Gây đau đớn và xuất huyết nhiều, thủ thuật phức tạp

Mất từ 1 ~ 2 tiếng thao tác cho mỗi hàm


VS

Tạo lỗ siêu nhỏ trên vị trí
sẽ cấy ghép trụ Implant


Không gây đau đớn, giảm xuất huyết, thủ thuật đơn giản

Chỉ mất từ 20~30 phút thao tác cho mỗi hàm


*Mỗi cây thao tác khoảng 5 phút

Rạch toàn bộ nướu và sẽ khâu lại sau 

khi đã hoàn tất cấy ghép trục Implant


Gây đau đớn và xuất huyết nhiều,

thủ thuật phức tạp

Tạo lỗ siêu nhỏ trên vị trí

sẽ cấy ghép trụ Implant


Đau nhứt, chảy máu ít,

thủ thuật đơn giản

* Mỗi cây thao tác khoảng 5 phút


Chỉ cần đến viện 2 lần là đã hoàn tất việc
cấy ghép Implant kỹ thuật số toàn hàm
Răng giả được cấy ghép ngay trong ngày thực hiện điều trị nên bệnh nhân có thể thực hiện các sinh hoạt hàng ngày bình thường,
số lần khám răng và điều trị cũng giảm đáng kể.
Cấy ghép Implant hiện nay

VS
Cấy ghép Implant kỹ thuật số toàn hàm

02
Cấy ghép Implant, trồng càng nhiều trụ thì răng càng chắc chắn?
Không phải như vậy.
Số lượng trụ Implant ≠ Cấy ghép Implant chắc khỏe


Cấy ghép quá nhiều trụ Implant sẽ gây cản trở lưu 
thông máu và tổn thương xương chân răng hơn.


mobile background

Kỹ thuật cấy ghép Implant tiến hóa hơn cùng với phương pháp cấy ghép Implant kỹ thuật số
Bí quyết giúp bạn duy trì hàm răng chắc khỏe với kỹ thuật cấy ghép Implant chỉ từ 4 – 6 cây
mobile background

Răng giả một thân 
giúp phân tán lực nhai

Sử dụng vật liệu sứ Zirconia
độ bền cao trên 1100MPa

Sử dụng trụ Implant được xử lý bề mặt
có độ liên kết cao với xương hàm

Răng giả một thân giúp phân tán lực nhai
Cấy ghép Implant hiện có

- Lực nhai không được phân tán do răng giả bị tách rời
- Tập trung lực nhai vào một cây đã cấy ghép cụ thể trong khi nhai
- Rút ngắn tuổi thọ của răng cấy ghép Implant
VS
Cấy ghép Implant kỹ thuật số toàn hàm

- Phân tán lực nhai bằng răng giả 1 thân thẳng
- Giảm thiểu lực tác động lên trụ Implant đã cấy trong khi nhai
- Kéo dài tuổi thọ cho trụ Implant


Sử dụng vật liệu sứ Zirconia
độ bền cao trên 1100MPa

Răng giả cấy ghép Implant làm bằng vật liệu sứ Zirconia có độ bền cao giúp hoàn thiện hàm răng chắc khỏe mà không bị gẫy, mẻ

Sử dụng trụ Implant được xử lý bề mặt
có độ liên kết cao với xương hàm
Sử dụng Implant cấy ghép đã được xử lý bề mặt đặc biệt giúp đông máu xung quanh mô cấy nhanh,
làm tăng khả năng cố định và tăng tuổi thọ của răng cấy Implant.
Thử nghiệm khả năng làm đông máu giữa Implant thông thường và Implant đã được xử lý bề mặt đặc biệt
Các trường hợp cấy ghép Implant kỹ thuật số
toàn hàm chắc khỏe và đơn giản
03

Dù có phát sinh vấn đề, bệnh nhân cũng không cần phải tháo răng đã cấy ghép Implant.

Răng giả Screw Type dễ dàng thao tác chỉnh sửa
Cấy ghép Implant hiện có

Phải tháo răng giả đã cấy ra để điều trị
(Không thể tái sử dụng răng giả đó)
VS
Cấy ghép Implant kỹ thuật số toàn hàm

Chỉ cần tháo ốc vít ra, sau khi điều trị
xong thì vặn ốc vít lại là hoàn tất
Cấy ghép Implant kỹ thuật số toàn hàm
dễ dàng tháo lắp và gắn lại!
Tuyệt vời với nhiều ưu điểm.

← 좌우로 스크롤하여 내용을 확인하세요→

Chỉnh sử dễ dàng
Mà không cần phải
tháo răng giả ra


Sau khi cấy ghép Implant dù phát sinh
bất kỳ vấn đề nào cũng có thể dễ dàng xử lý
bằng cách tháo ốc vít mà không cần phải
gỡ răng giả Implant ra.
Hiệu quả trong tiết kiệm chi phí
Không cần phải
làm mới răng giả


Khi phát sinh vấn đề với trụ Implant, bệnh nhân
không cần phải tháo răng giả ra để xử lý nên
không cần phải thêm chi phí làm lại răng giả,
giúp tiết kiệm chi phí điều trị cho người bệnh.
Điều trị trước khi vấn đề phát sinh
Hiệu quả kéo
tuổi thọ của răng


Công nghệ cấy ghép Implant hiện nay có thể 
giúp kiểm tra dễ dàng tình trạng các trụ bên trong
răng Implant mà không cần phải tháo răng ra như
các công nghệ trước đây, giúp kéo dài tuổi thọ
và độ bền của răng Implant


04
Chân răng không lộ, không dài chân răng
Tạo răng và nướu tự nhiên như
hàm răng thật của chính bạn


Cấy ghép Implant kỹ thuật số toàn hàm giúp

tạo hàm răng và nướu một cách tự nhiên
bằng vật liệu sứ Zirconia và Pink Porcelain.


Răng sau khi đã cấy ghép Implant trông
quá dài và mất tự nhiên vì chứng tụt nướu


Tái tạo lợi ở vị trí tụt xương

hàm giúp định hình răng


Răng sau khi đã cấy ghép Implant trông quá dài và mất tự nhiên vì chứng tụt nướu

VS


Răng sau khi đã cấy ghép Implant nhìn khá tự nhiên do bám chặt vào nướu, nướu không tụt, không lộ chân răng

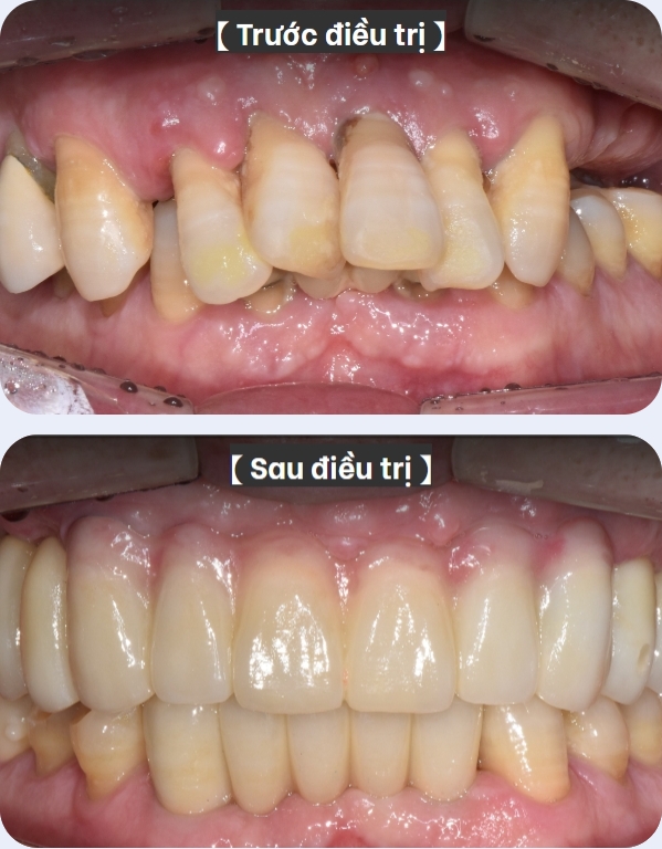
Các tường hợp điều trị cấy ghép Implant
kỹ thuật số toàn hàm tự nhiên
Những trường hợp nào nên điều trị
cấy ghép Implant kỹ thuật số toàn hàm
01

Bệnh nhân gặp khó khăn trong việc ăn uống do mất răng hoàn toàn hoặc mất gần hết răng

02

Bệnh nhân lo lắng về khuôn miệng bị hóp do mất răng và nếp nhăn gia tăng

03

Bệnh nhân đang sử dụng răng giả để kết nối một số ít những cây răng còn lại trên hàm

04

Bệnh nhân đang phải gánh chịu tác dụng phụ của răng giả


Thông số điều trị cấy ghép Implant kỹ thuật số toàn hàm
I  Thời gian điều trị  I
I  Phương pháp gây tê  I
Trong vòng từ 20-40 phút cho
mỗi hàm (Mỗi cây răng khoảng
5 phút thao tác)
Gây tê tại chỗ,
gây tê bằng kim nhỏ không đau

I  Thời gian hồi phục  I
I  Số lần điều trị tại viện  I
Có thể ăn thức ăn mềm ngay sau đó
Khoảng 2-3 lần


*Quá trình điều trị có thể khác nhau tùy theo tình trạng xương chân răng của bệnh nhân.

다산바른치과의원 (DASAN BARUN DENTAL CLINIC)

5F (R501 ~ R503), 17 Dasanjungang-ro 145beon-gil,
Namyangju-si, Gyeonggi-do

Giám đốc đại diện: Kim Jung-ki ㅣ Số giấy phép ĐKKD: 247-29-00783

Điện thoại: 010-8071-6678

Số đại diện
Giờ làm việc

Hai / Sáu          10:00 - 21:00

Ba / Tư / Năm  10:00 - 19:00

Bảy / CN           09:30 - 13:30 (Không nghỉ trưa)

Nghỉ trưa          12:30 - 14:00

Bản đồ

5F, G&G Metro Tower, 17 Dasanjungang-ro 145beon-gil, Namyangju-si, Gyeonggi-do


COPYRIGHT ⓒ 다산바른치과의원. ALL RIGHTS RESERVED