Xin chào. Tôi là người luôn dùng tâm để điều trị giám đốc Nha khoa Dasan Barun, Kim Jeong-ki. ^^
Chủ đề nội dung hôm nay nói về răng khôn. Vì khoảng 70% dân số có ít nhất một chiếc răng khôn
nên nhiều người có thể đã nhổ răng khôn hoặc cần phải nhổ,
và cũng có những người sống chung với răng khôn vì họ không cảm thấy khó chịu gì.
Tôi thường được hỏi liệu tôi có thực sự cần phải nhổ răng khôn hay không.
Nếu răng khôn thẳng như các răng khác và có thể giữ sạch sẽ thì
có thể sử dụng như răng hàm mà không cần nhổ. Tuy nhiên, trong hầu hết các trường hợp
khó duy trì sự chăm sóc kỹ lưỡng vì bàn chải đánh răng không chạm tới, nếu mọc lệch,
có thể hình thành khe hở giữa răng hàm và răng khôn, khiến thức ăn bị mắc kẹt và gây viêm nhiễm.
Điều này có thể gây sâu răng hoặc bệnh nướu răng.
Vì vậy, nên nhổ răng khôn trong những trường hợp này.
Những ai đã từng nhổ răng khôn(?) chắc hẳn đã cảm nhận được điều đó.
Có khi nhổ chỉ trong 10 giây, có khi nha sĩ phải vật lộn rất lâu với chiếc răng khôn.
Mặc dù có thể có sự khác biệt về trình độ tay nghề của bác sĩ điều trị nhưng độ khó
của việc nhổ răng thường rất khác nhau tùy thuộc vào loại răng khôn.
Nếu bạn định nhổ răng khôn trong tương lai, tôi nghĩ sẽ rất hữu ích nếu bạn tham khảo trước
bài viết này để nâng cao hiểu biết của bạn về mức độ khó của việc
nhổ răng tùy thuộc vào loại răng khôn trước khi điều trị.
Độ khó của việc nhổ răng khôn tùy thuộc vào loại răng khôn
Độ khó của việc nhổ răng khôn được quyết định bởi nhiều yếu tố.
Nếu chúng ta phân loại cấp độ khó của việc nhổ răng trong bối cảnh rộng,
① Khoảng cách giữa xương hàm dưới và răng hàm, ② Độ sâu của răng khôn ③ Góc/hướng
Tôi nghĩ nó có thể được phân biệt v.v.
Khoảng cách giữa xương hàm dưới và răng hàm
Mức độ khó có thể khác nhau tùy thuộc vào khoảng trống giữa xương hàm dưới và răng hàm cuối cùng.
Trong hình bên dưới, khi Loại I > Loại II > Loại III,
khoảng cách giữa xương hàm dưới và răng hàm cuối cùng trở
nên hẹp hơn so với kích thước của đầu răng khôn.

Nguồn : Pocket Dentistry
Khi không gian càng hẹp thì không gian cho răng khôn mọc lên cũng càng hẹp
nên răng khôn phải chia nhỏ ra thành nhiều mảnh mới nhổ đi.
Nói cách khác, bạn càng phải làm nhiều mảnh thì càng mất nhiều thời gian.
Ngoài ra, ở những không gian hẹp như Hạng III, bác sĩ phẫu thuật khó có thể
đảm bảo tầm nhìn nên không thể thao tác dụng cụ một cách cẩn thận, điều này càng làm tăng độ khó.
Độ sâu răng khôn
Không cần phải nói, nhưng răng khôn càng cắm sâu vào nướu thì càng khó nhổ.
Nói cách khác, như trong hình bên dưới, khi bạn đi từ A > B > C,
chiều cao mặt nhai của răng khôn sẽ thấp hơn so với răng hàm và chúng ăn sâu hơn vào nướu.
Điều này không chỉ đòi hỏi một cách tiếp cận tinh tế hơn vì răng khôn nằm gần dây thần kinh hơn mà còn liên quan đến các
thủ tục phẫu thuật như cắt bỏ xương nướu, có thể làm tăng độ khó của việc nhổ răng.
Nguồn : Pocket Dentistry
Góc và hướng của răng khôn
Mức độ khó có thể khác nhau tùy thuộc vào góc và hướng của răng khôn.
Trong trường hợp ‘phục kích theo chiều dọc’, bệnh nhân đứng thẳng thì độ khó nhổ răng tương đối thấp.
Trong hình bên dưới, càng tiến gần về phía bên phải thì càng bị chặn bởi xương hàm dưới hoặc các răng bên cạnh.
Vì khó có thể nhổ hết cùng một lúc nên có thể cần phải thực hiện
các thủ tục phẫu thuật bổ sung như cắt bỏ xương nướu và tách răng.

Nguồn : Dimensions of Dental Hygiene
Khác (Hình dạng chân răng, độ tuổi/ giới tính)
Hình dạng chân răng của mỗi người là khác nhau, như thể hiện trong hình dưới đây.
Nếu chân răng bị tách thành nhiều mảnh và xòe rộng ra có thể mắc vào xương nướu và
không thể lấy ra dễ dàng nên có thể phải bẻ răng ra thành nhiều mảnh rồi nhổ bỏ.
Nguồn : Labroots
Và bệnh nhân càng lớn tuổi thì độ đàn hồi của xương ở nam càng thấp so với nữ. Việc nhổ răng khôn có thể khó khăn hơn.
Để nhổ một chiếc răng khôn, bạn phải chèn một dụng cụ vào giữa răng và xương nướu để giữ khoảng trống và loại bỏ nó.
Tuy nhiên, do độ đàn hồi của xương giảm, độ linh hoạt giảm và dụng cụ không thể vừa khít.
Ngoài ra, mức độ tích hợp xương có thể tăng lên theo độ tuổi của bệnh nhân,
đây cũng là một trong những yếu tố khiến việc nhổ răng khôn trở nên khó khăn.
Trường hợp điều trị nhổ răng khôn
Tại Nha khoa Dasan Barun đã có những bệnh nhân phải nhổ nhiều loại răng khôn khác nhau.
Để giúp bạn hiểu rõ hơn về nội dung giải thích ở trên, chúng tôi đã sắp xếp theo mức độ từ dễ đến khó
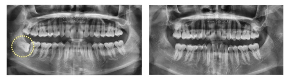
CASE 1.
Bệnh nhân này đã nhổ một chiếc răng khôn hàm trên và một chiếc răng khôn hàm dưới.
Răng khôn mọc tương đối thẳng và mức độ mọc ngầm không sâu lắm.
Tuy nhiên, do khoảng cách giữa hàm dưới và răng hàm cuối cùng hẹp,
răng khôn hơi bị nướu che phủ nên đây là trường hợp có thể
nhổ hết răng cùng lúc chỉ bằng một đường rạch nhỏ ở nướu.

CASE 2.
Đó không phải là trường hợp đơn giản vì răng khôn nằm ngang và hơn 2/3
trong số đó bị ảnh hưởng bởi xương nướu. Đây là trường hợp một lượng nhỏ xương nướu
bị loại bỏ đồng thời phần đầu và chân răng được chia ra và nhổ bỏ hai lần.

CASE 3.
Đây là trường hợp răng khôn nằm ngang và bị ảnh hưởng sâu hơn một chút.
Đây là trường hợp cần phải lấy xương cầu kỳ hơn vì răng khôn đã mọc hoàn toàn vào xương nướu.

Ngoài ra, như trong ảnh CT bên dưới, răng khôn và dây thần kinh gần như tiếp xúc với nhau
nên đây là trường hợp cần thực hiện một cách tiếp cận tinh tế và cẩn thận hơn trong quá trình
phân chia răng để nhổ răng. Tuy mất nhiều thời gian hơn những trường hợp trước
một chút nhưng đây là trường hợp răng được nhổ thành công mà không có dấu hiệu tổn thương thần kinh.

Dây thần kinh gần răng khôn.
Kết thúc bài viết
Chúng tôi đã xem xét mức độ khó của việc nhổ răng tùy thuộc vào loại răng khôn.
Trước khi nhổ răng khôn, bạn hãy tham khảo bài viết này để hiểu rõ hơn rồi đến Nha khoa Dasan nhé.
Tôi nghĩ rằng việc điều trị có thể giúp ích nhiều hơn cho bạn nếu bạn đến thăm chúng tôi.
Nếu bạn lo lắng về chiếc răng khôn của mình, tốt nhất bạn nên đến gặp nha sĩ và nhận được tư vấn.
Chúng tôi xin cảm ơn những bệnh nhân đã cho phép chúng tôi đăng thông tin lâm sàng
của họ lên blog để nó có thể hữu ích cho những người có triệu chứng tương tự.
Tất cả các hình ảnh trên blog này đều được đăng tải với sự đồng ý bằng văn bản của bệnh nhân.
Xin chào. Tôi là người luôn dùng tâm để điều trị giám đốc Nha khoa Dasan Barun, Kim Jeong-ki. ^^
Chủ đề nội dung hôm nay nói về răng khôn. Vì khoảng 70% dân số có ít nhất một chiếc răng khôn
nên nhiều người có thể đã nhổ răng khôn hoặc cần phải nhổ,
và cũng có những người sống chung với răng khôn vì họ không cảm thấy khó chịu gì.
Tôi thường được hỏi liệu tôi có thực sự cần phải nhổ răng khôn hay không.
Nếu răng khôn thẳng như các răng khác và có thể giữ sạch sẽ thì
có thể sử dụng như răng hàm mà không cần nhổ. Tuy nhiên, trong hầu hết các trường hợp
khó duy trì sự chăm sóc kỹ lưỡng vì bàn chải đánh răng không chạm tới, nếu mọc lệch,
có thể hình thành khe hở giữa răng hàm và răng khôn, khiến thức ăn bị mắc kẹt và gây viêm nhiễm.
Điều này có thể gây sâu răng hoặc bệnh nướu răng.
Vì vậy, nên nhổ răng khôn trong những trường hợp này.
Những ai đã từng nhổ răng khôn(?) chắc hẳn đã cảm nhận được điều đó.
Có khi nhổ chỉ trong 10 giây, có khi nha sĩ phải vật lộn rất lâu với chiếc răng khôn.
Mặc dù có thể có sự khác biệt về trình độ tay nghề của bác sĩ điều trị nhưng độ khó
của việc nhổ răng thường rất khác nhau tùy thuộc vào loại răng khôn.
Nếu bạn định nhổ răng khôn trong tương lai, tôi nghĩ sẽ rất hữu ích nếu bạn tham khảo trước
bài viết này để nâng cao hiểu biết của bạn về mức độ khó của việc
nhổ răng tùy thuộc vào loại răng khôn trước khi điều trị.
Độ khó của việc nhổ răng khôn tùy thuộc vào loại răng khôn
Độ khó của việc nhổ răng khôn được quyết định bởi nhiều yếu tố.
Nếu chúng ta phân loại cấp độ khó của việc nhổ răng trong bối cảnh rộng,
① Khoảng cách giữa xương hàm dưới và răng hàm, ② Độ sâu của răng khôn ③ Góc/hướng
Tôi nghĩ nó có thể được phân biệt v.v.
Mức độ khó có thể khác nhau tùy thuộc vào khoảng trống giữa xương hàm dưới và răng hàm cuối cùng.
Trong hình bên dưới, khi Loại I > Loại II > Loại III,
khoảng cách giữa xương hàm dưới và răng hàm cuối cùng trở
nên hẹp hơn so với kích thước của đầu răng khôn.
Nguồn : Pocket Dentistry
Khi không gian càng hẹp thì không gian cho răng khôn mọc lên cũng càng hẹp
nên răng khôn phải chia nhỏ ra thành nhiều mảnh mới nhổ đi.
Nói cách khác, bạn càng phải làm nhiều mảnh thì càng mất nhiều thời gian.
Ngoài ra, ở những không gian hẹp như Hạng III, bác sĩ phẫu thuật khó có thể
đảm bảo tầm nhìn nên không thể thao tác dụng cụ một cách cẩn thận, điều này càng làm tăng độ khó.
Không cần phải nói, nhưng răng khôn càng cắm sâu vào nướu thì càng khó nhổ.
Nói cách khác, như trong hình bên dưới, khi bạn đi từ A > B > C,
chiều cao mặt nhai của răng khôn sẽ thấp hơn so với răng hàm và chúng ăn sâu hơn vào nướu.
Điều này không chỉ đòi hỏi một cách tiếp cận tinh tế hơn vì răng khôn nằm gần dây thần kinh hơn mà còn liên quan đến các
thủ tục phẫu thuật như cắt bỏ xương nướu, có thể làm tăng độ khó của việc nhổ răng.
Mức độ khó có thể khác nhau tùy thuộc vào góc và hướng của răng khôn.
Trong trường hợp ‘phục kích theo chiều dọc’, bệnh nhân đứng thẳng thì độ khó nhổ răng tương đối thấp.
Trong hình bên dưới, càng tiến gần về phía bên phải thì càng bị chặn bởi xương hàm dưới hoặc các răng bên cạnh.
Vì khó có thể nhổ hết cùng một lúc nên có thể cần phải thực hiện
các thủ tục phẫu thuật bổ sung như cắt bỏ xương nướu và tách răng.
Nguồn : Dimensions of Dental Hygiene
Hình dạng chân răng của mỗi người là khác nhau, như thể hiện trong hình dưới đây.
Nếu chân răng bị tách thành nhiều mảnh và xòe rộng ra có thể mắc vào xương nướu và
không thể lấy ra dễ dàng nên có thể phải bẻ răng ra thành nhiều mảnh rồi nhổ bỏ.
Và bệnh nhân càng lớn tuổi thì độ đàn hồi của xương ở nam càng thấp so với nữ. Việc nhổ răng khôn có thể khó khăn hơn.
Để nhổ một chiếc răng khôn, bạn phải chèn một dụng cụ vào giữa răng và xương nướu để giữ khoảng trống và loại bỏ nó.
Tuy nhiên, do độ đàn hồi của xương giảm, độ linh hoạt giảm và dụng cụ không thể vừa khít.
Ngoài ra, mức độ tích hợp xương có thể tăng lên theo độ tuổi của bệnh nhân,
đây cũng là một trong những yếu tố khiến việc nhổ răng khôn trở nên khó khăn.
Trường hợp điều trị nhổ răng khôn
Tại Nha khoa Dasan Barun đã có những bệnh nhân phải nhổ nhiều loại răng khôn khác nhau.
Để giúp bạn hiểu rõ hơn về nội dung giải thích ở trên, chúng tôi đã sắp xếp theo mức độ từ dễ đến khó
Bệnh nhân này đã nhổ một chiếc răng khôn hàm trên và một chiếc răng khôn hàm dưới.
Răng khôn mọc tương đối thẳng và mức độ mọc ngầm không sâu lắm.
Tuy nhiên, do khoảng cách giữa hàm dưới và răng hàm cuối cùng hẹp,
răng khôn hơi bị nướu che phủ nên đây là trường hợp có thể
nhổ hết răng cùng lúc chỉ bằng một đường rạch nhỏ ở nướu.
Đó không phải là trường hợp đơn giản vì răng khôn nằm ngang và hơn 2/3
trong số đó bị ảnh hưởng bởi xương nướu. Đây là trường hợp một lượng nhỏ xương nướu
bị loại bỏ đồng thời phần đầu và chân răng được chia ra và nhổ bỏ hai lần.
Đây là trường hợp răng khôn nằm ngang và bị ảnh hưởng sâu hơn một chút.
Đây là trường hợp cần phải lấy xương cầu kỳ hơn vì răng khôn đã mọc hoàn toàn vào xương nướu.
Ngoài ra, như trong ảnh CT bên dưới, răng khôn và dây thần kinh gần như tiếp xúc với nhau
nên đây là trường hợp cần thực hiện một cách tiếp cận tinh tế và cẩn thận hơn trong quá trình
phân chia răng để nhổ răng. Tuy mất nhiều thời gian hơn những trường hợp trước
một chút nhưng đây là trường hợp răng được nhổ thành công mà không có dấu hiệu tổn thương thần kinh.
Dây thần kinh gần răng khôn.
Kết thúc bài viết
Chúng tôi đã xem xét mức độ khó của việc nhổ răng tùy thuộc vào loại răng khôn.
Trước khi nhổ răng khôn, bạn hãy tham khảo bài viết này để hiểu rõ hơn rồi đến Nha khoa Dasan nhé.
Tôi nghĩ rằng việc điều trị có thể giúp ích nhiều hơn cho bạn nếu bạn đến thăm chúng tôi.
Nếu bạn lo lắng về chiếc răng khôn của mình, tốt nhất bạn nên đến gặp nha sĩ và nhận được tư vấn.
Chúng tôi xin cảm ơn những bệnh nhân đã cho phép chúng tôi đăng thông tin lâm sàng
của họ lên blog để nó có thể hữu ích cho những người có triệu chứng tương tự.
Tất cả các hình ảnh trên blog này đều được đăng tải với sự đồng ý bằng văn bản của bệnh nhân.