Xin chào
Tôi là Kim Jeong-ki, Giám đốc điều hành của Nha khoa Dasan Barun,
viện dẫn đầu về công nghệ nha khoa kỹ thuật số.
Chủ đề hôm nay là về việc rơi mão răng.
Mão răng là
phương pháp điều trị phục hình răng bị hư hỏng
sau nhiều lần mài mòn hoặc điều trị tủy
trong quá trình loại bỏ các răng sâu nặng.

Nguồn : westgatedentalcentre.com
Mặc dù những mão răng này khá chắc chắn
nhưng đôi khi chúng vẫn bị rơi ra.

Khi nhai thức ăn dính hoặc cứng,
có thể sẽ bị rơi
Nếu bề mặt mão răng bị nứt hoặc mòn,
nước bọt có thể xâm nhập vào khe hở và
hòa tan dần chất kết dính, khiến keo rơi ra ngoài.
Nhiều người có thể nghĩ rằng
nếu mão răng rơi ra,
chỉ cần gắng lại là được
Tuy nhiên tùy thuộc vào nguyên nhân khiến mão răng bị rơi ra,
chỉ gắn mão răng thôi có thể là xong là không phải.
Cách xử lý mão răng sứ bị rơi ra
1. Trường hợp bị ngã do tác động vật lý bên ngoài:
Có nhiều trường hợp về việc bệnh nhân
bị rơi mão răng khi ăn thức ăn dính hoặc cứng.
Nếu bạn đã điều trị một thời gian ngắn và không có vấn đề gì lớn với
chiếc răng bên trong, bạn chỉ cần gắn lại răng thật tốt để tránh bị lại lần nữa.
Trường hợp dưới đây là ảnh một bệnh nhân
đến bệnh viện vì mão răng rơi ra khi ăn thạch.

▲ Gắn lại mão răng bị rơi một cách đơn giản
Thạch như Maijyu khá dính nên
mão răng đôi khi dính vào thạch và rơi ra.
Trong trường hợp rơi ra đơn giản như thế này, đến nha khoa đã điều trị
hầu hết sẽ gắn nó miễn phí trong thời gian bảo hành.
Ngay cả khi bạn đến phòng khám không
phải nơi bạn đã điều trị, nhận điều trị khá đơn giản
với chi phí tự chi trả chỉ vài nghìn won.
Tuy nhiên, trong một số trường hợp nếu việc
chuẩn bị được thực hiện không chính xác ngay từ đầu
hoặc mão răng không được chế tạo vừa khít và mão răng bị hở
(nếu các mép không khớp), mão răng sẽ tiếp tục rơi ra.

▲ Chế tác mão răng đúng cách (Nguồn: westcoastinternational.com)
Nếu mão răng rơi ra nhiều lần trong khoảng thời gian ngắn
thì khả năng cao là có nguyên nhân cơ bản,
vì vậy hãy đến nha khoa nơi bạn đã điều trị ban đầu.
Bạn cũng nên xác định nguyên nhân
và yêu cầu làm lại mão răng.
2. Trường hợp rơi mão do sâu răng, viêm nhiễm
Nếu sâu răng hoặc viêm nhiểm xảy ra bên trong thân răng,
mô răng bên trong có thể bị phá hủy, tạo thành khoảng trống nhô cao giữa thân răng và răng.
Kết quả là sự liên kết giữa mão răng và thân răng trở nên yếu hơn và mão răng có thể bị rơi ra.

Trong trường hợp này, mão răng không nên chỉ được gắn lại,
mão răng phải được lắp lại sau khi điều trị sâu răng hoặc điều trị tủy.
Hãy cùng xem trường hợp bệnh nhân dưới đây.
Những lỗ sâu đen có thể nhìn thấy rõ ràng
bên trong chiếc răng nơi mão răng bị rơi ra.

▲ Sâu răng bên trong thân răng
Trong trường hợp này, loại bỏ răng sâu
lấp đầy bằng vật liệu nha khoa như resin, sau đó đặt lại mão răng.
Trong một số trường hợp có thể sử dụng lại mão răng cũ
nhưng trong hầu hết mão răng mới được chế tác và ốp lại

▲ Gắn mão răng mới sau khi điều trị sâu răng
Nguyên nhân là do răng bị sâu và hình dạng thay đổi do sâu răng
nên mão răng hiện tại không vừa với răng, thậm chí nếu buộc
phải cắm vào thì có khả năng sẽ xuất hiện một khoảng trống
và vi khuẩn sẽ phát triển trở lại ở khoảng trống đó.
3. Khi mão răng đã được sử dụng trong một thời gian dài bị rơi ra do nứt và mòn.
Thông thường, nếu bạn sử dụng mão răng
trên 10 đến 15 năm thì mão răng sẽ bị nứt hoặc mòn.
Nước bọt, v.v., lọt vào khe hở mài mòn,
làm suy yếu độ bám dính của mão răng và khiến mão răng rơi ra.
Bệnh nhân dưới đã sử mão răng vàng trong 15 năm.
Mão răng rơi ra và bạn đến gặp nha sĩ với mão răng vẫn còn dính trên răng.
Nếu nhìn vào bức ảnh, bạn có thể thấy mão răng có những vết nứt ở đây và ở đó.
▲ Vết nứt và mòn trên mão răng cũ
Có thể thấy nướu xung quanh chân răng đã chảy máu
và xương hàm đang dần tiêu tan.
Thông thường, trong những trường hợp như thế này, khả năng cao là bên trong
đã mục nát rất nhiều do vi khuẩn gây sâu răng sinh sôi qua các vết nứt.
Khi tôi tháo mão răng ra, như đã dự đoán bên trong đã mục nát rất nhiều.

▲ Răng mục nát bên trong mão răng cũ
Bất cứ ai thường xuyên đọc blog của tôi đều biết rằng trong
trường hợp một chiếc răng chỉ còn lại chân răng,
có thể cố gắng cứu nó bằng phẫu thuật kéo răng.

▲ Ví dụ về phẫu thuật kéo răng
*Phẫu thuật kéo răng là gì? : Một phương pháp kéo dài tuổi thọ của răng tự nhiên bằng cách nâng răng lên để lộ nhiều đầu răng hơn và cố ý tạo thành vòng sắt.
Tuy nhiên, trong trường hợp này
Vì tình trạng viêm nặng đến chân răng

▲ Viêm sâu nặng tận chân răng
Không thể phẫu thuật kéo chân răng ở trường hợp này
Điều trị cấy ghép Implant được thực hiện sau khi nhổ răng.

▲ Điều trị cấy ghép Implant sau khi nhổ răng bị sâu đến tận chân răng do mão răng cũ
Nếu bạn không muốn trải qua điều trị
cấy ghép implant như thế này tốt nhất bạn
nên đi khám răng trước khi mão răng đi.
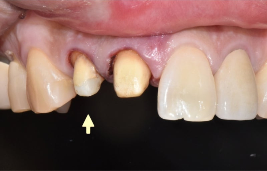
4. Khi lỗ sâu bên trong thân răng quá nặng khiến đầu răng và thân răng vỡ ra và rơi ra.
Nếu ở trường hợp 2 và 3 chỉ có mão răng bị rơi ra thì ở
trường hợp này phần thân răng được gắn mão răng cũng bị gãy.
Có hai tình huống chính trong trường hợp này.
- Một chiếc có thể bị gãy do tác động vật lý mạnh
- Chiếc còn lại có thể do răng bên trong mão răng đã mục nát đến mức dễ dàng bị gãy dù chỉ chạm nhẹ.
Hãy cùng xem trường hợp bệnh nhân dưới đây.
Bệnh nhân đến bệnh viện vì cắn đũa bằng răng cửa
khi đang ăn khiến mão răng cửa bị gãy.

▲ Thân răng bị gãy cùng với đầu răng
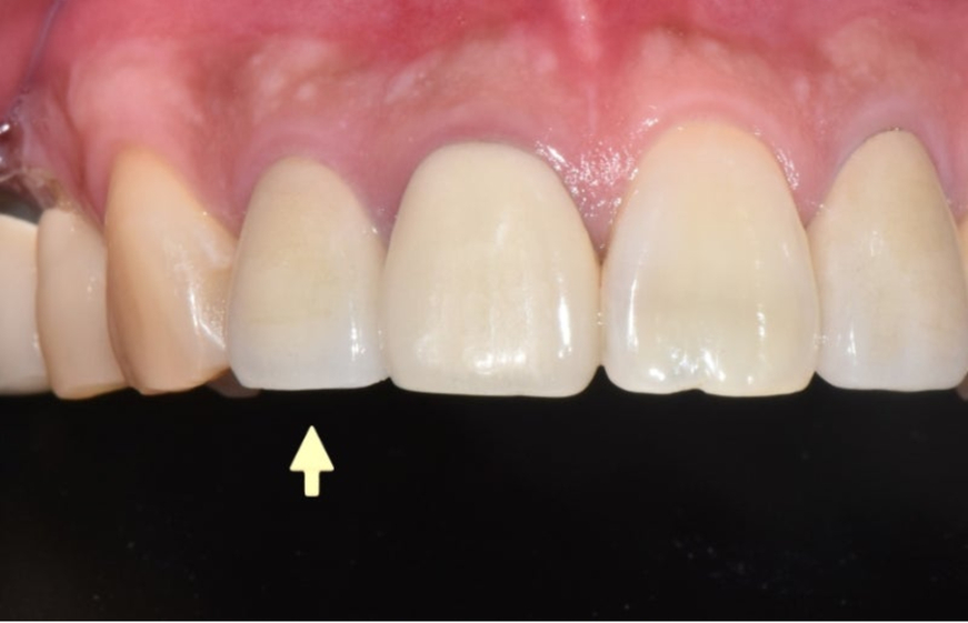
Do bên trong không có dấu hiệu sâu răng hay viêm nhiễm,
chân răng còn lại nằm sâu nên răng được cứu
bằng phẫu thuật kéo răng và
đặt lại mão răng.

▲Cứu chân răng bằng phẫu thuật kéo răng
Nếu một chiếc răng bị gãy và phần
chân răng còn lại còn đủ dài thì
có thể phẫu thuật kéo ra một phần
và giữ lại phần chân răng còn lại.

▲ Gắn lại mão răng sau phẫu thuật kéo răng
Như thế này chúng tôi thậm chí còn nói
về cách điều trị bệnh nhân dựa trên những
trường hợp bệnh nhân đến bệnh viện với mão răng bị rụng.
Vì vậy, sẽ thật tuyệt nếu chúng ta có thể ngăn chặn thân
răng bị rơi, nhưng có những cách nào?
Làm sao để mão răng sứ không bị rơi ra
Điều đáng ngạc nhiên là mão răng thường rơi ra
khi ăn đồ ăn dính như thạch hoặc đồ ăn cứng như cà rốt sống,
cơm cháy hoặc các loại hạt.
Đừng mất cảnh giác và tốt nhất bạn nên tránh nhai những
thực phẩm này bằng răng đã được điều trị càng nhiều càng tốt.
- Kiểm tra miệng kỹ lưỡng một cách thường xuyên
Không có cách nào chăm sóc răng miệng ít tốn kém bằng khám răng miệng.
(Chúng tôi khuyên bạn nên đến gặp nha sĩ sáu tháng một lần, nhưng nếu việc này khó khăn...)
Ít nhất mỗi năm một lần, ngay cả khi kiểm tra sức khỏe định kỳ bảo .

Bạn nên đến nha khoa để kiểm tra răng miệng
và kiểm tra định kỳ xem liệu có vấn đề gì
với răng được bọc mão sứ hay không.
- Giảm thực phẩm có đường và axit.
Bạn có biết rằng đồ ăn ngọt chứa đường có hại cho răng,
cho dù bạn có bọc mão răng hay không.

Đường tích tụ dọc theo thân răng và đường viền nướu
tạo điều kiện cho vi khuẩn dễ dàng phát triển.
Điều này có thể đẩy nhanh quá trình sâu răng
và cuối cùng khiến mão răng bị rơi ra.
Ngoài ra, thực phẩm có tính axit còn có
vai trò làm tổn hại đến lớp men răng.
Mặc dù mão răng che phủ răng nhưng ranh giới giữa mão răng
và nướu có thể khiến răng tiếp xúc với thực phẩm có tính axit,
ăn mòn răng bên trong và gây sâu răng.

Vì vậy, nếu bạn tiêu thụ thực phẩm có tính axit,
nên trung hòa khoang miệng bằng cách súc miệng bằng nước nhiều lần.
Thực phẩm có tính axit thường bao gồm nước chua,
nước sốt spaghetti cà chua và cà phê.
Vâng hôm nay chúng ta đã học về việc mão răng bị rơi ra.
Nếu mão răng của bạn rơi ra, bạn nên bảo quản cẩn thận
để tránh hư hỏng thêm hoặc biến dạng và nên đến nha khoa ngay.
Nếu có thể tốt nhất bạn nên đến Nha khoa nơi bạn đã điều trị,
nhưng nếu hoàn cảnh không cho phép, tốt nhất bạn nên đến nha khoa gần đó. ^^
Xin chào
Tôi là Kim Jeong-ki, Giám đốc điều hành của Nha khoa Dasan Barun,
viện dẫn đầu về công nghệ nha khoa kỹ thuật số.
Chủ đề hôm nay là về việc rơi mão răng.
Mão răng là
phương pháp điều trị phục hình răng bị hư hỏng
sau nhiều lần mài mòn hoặc điều trị tủy
trong quá trình loại bỏ các răng sâu nặng.
Nguồn : westgatedentalcentre.com
Mặc dù những mão răng này khá chắc chắn
nhưng đôi khi chúng vẫn bị rơi ra.
Khi nhai thức ăn dính hoặc cứng,
có thể sẽ bị rơi
Nếu bề mặt mão răng bị nứt hoặc mòn,
nước bọt có thể xâm nhập vào khe hở và
hòa tan dần chất kết dính, khiến keo rơi ra ngoài.
Nhiều người có thể nghĩ rằng
nếu mão răng rơi ra,
chỉ cần gắng lại là được
Tuy nhiên tùy thuộc vào nguyên nhân khiến mão răng bị rơi ra,
chỉ gắn mão răng thôi có thể là xong là không phải.
1. Trường hợp bị ngã do tác động vật lý bên ngoài:
Có nhiều trường hợp về việc bệnh nhân
bị rơi mão răng khi ăn thức ăn dính hoặc cứng.
Nếu bạn đã điều trị một thời gian ngắn và không có vấn đề gì lớn với
chiếc răng bên trong, bạn chỉ cần gắn lại răng thật tốt để tránh bị lại lần nữa.
Trường hợp dưới đây là ảnh một bệnh nhân
đến bệnh viện vì mão răng rơi ra khi ăn thạch.
▲ Gắn lại mão răng bị rơi một cách đơn giản
Thạch như Maijyu khá dính nên
mão răng đôi khi dính vào thạch và rơi ra.
Trong trường hợp rơi ra đơn giản như thế này, đến nha khoa đã điều trị
hầu hết sẽ gắn nó miễn phí trong thời gian bảo hành.
Ngay cả khi bạn đến phòng khám không
phải nơi bạn đã điều trị, nhận điều trị khá đơn giản
với chi phí tự chi trả chỉ vài nghìn won.
Tuy nhiên, trong một số trường hợp nếu việc
chuẩn bị được thực hiện không chính xác ngay từ đầu
hoặc mão răng không được chế tạo vừa khít và mão răng bị hở
(nếu các mép không khớp), mão răng sẽ tiếp tục rơi ra.
▲ Chế tác mão răng đúng cách (Nguồn: westcoastinternational.com)
Nếu mão răng rơi ra nhiều lần trong khoảng thời gian ngắn
thì khả năng cao là có nguyên nhân cơ bản,
vì vậy hãy đến nha khoa nơi bạn đã điều trị ban đầu.
Bạn cũng nên xác định nguyên nhân
và yêu cầu làm lại mão răng.
2. Trường hợp rơi mão do sâu răng, viêm nhiễm
Nếu sâu răng hoặc viêm nhiểm xảy ra bên trong thân răng,
mô răng bên trong có thể bị phá hủy, tạo thành khoảng trống nhô cao giữa thân răng và răng.
Kết quả là sự liên kết giữa mão răng và thân răng trở nên yếu hơn và mão răng có thể bị rơi ra.
Trong trường hợp này, mão răng không nên chỉ được gắn lại,
mão răng phải được lắp lại sau khi điều trị sâu răng hoặc điều trị tủy.
Hãy cùng xem trường hợp bệnh nhân dưới đây.
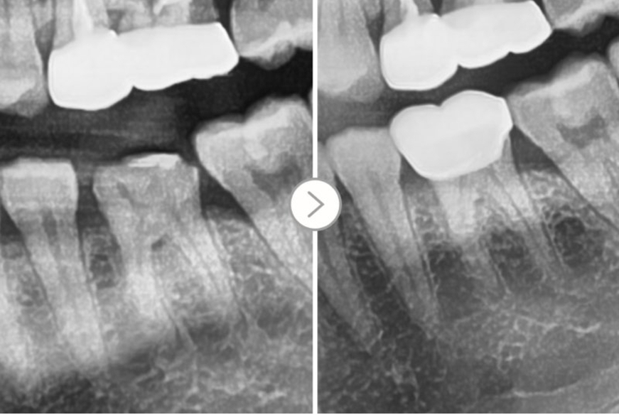
Những lỗ sâu đen có thể nhìn thấy rõ ràng
bên trong chiếc răng nơi mão răng bị rơi ra.
▲ Sâu răng bên trong thân răng
Trong trường hợp này, loại bỏ răng sâu
lấp đầy bằng vật liệu nha khoa như resin, sau đó đặt lại mão răng.
Trong một số trường hợp có thể sử dụng lại mão răng cũ
nhưng trong hầu hết mão răng mới được chế tác và ốp lại
▲ Gắn mão răng mới sau khi điều trị sâu răng
Nguyên nhân là do răng bị sâu và hình dạng thay đổi do sâu răng
nên mão răng hiện tại không vừa với răng, thậm chí nếu buộc
phải cắm vào thì có khả năng sẽ xuất hiện một khoảng trống
và vi khuẩn sẽ phát triển trở lại ở khoảng trống đó.
3. Khi mão răng đã được sử dụng trong một thời gian dài bị rơi ra do nứt và mòn.
Thông thường, nếu bạn sử dụng mão răng
trên 10 đến 15 năm thì mão răng sẽ bị nứt hoặc mòn.
Nước bọt, v.v., lọt vào khe hở mài mòn,
làm suy yếu độ bám dính của mão răng và khiến mão răng rơi ra.
Bệnh nhân dưới đã sử mão răng vàng trong 15 năm.
Mão răng rơi ra và bạn đến gặp nha sĩ với mão răng vẫn còn dính trên răng.
Nếu nhìn vào bức ảnh, bạn có thể thấy mão răng có những vết nứt ở đây và ở đó.
Có thể thấy nướu xung quanh chân răng đã chảy máu
và xương hàm đang dần tiêu tan.
Thông thường, trong những trường hợp như thế này, khả năng cao là bên trong
đã mục nát rất nhiều do vi khuẩn gây sâu răng sinh sôi qua các vết nứt.
Khi tôi tháo mão răng ra, như đã dự đoán bên trong đã mục nát rất nhiều.
▲ Răng mục nát bên trong mão răng cũ
Bất cứ ai thường xuyên đọc blog của tôi đều biết rằng trong
trường hợp một chiếc răng chỉ còn lại chân răng,
có thể cố gắng cứu nó bằng phẫu thuật kéo răng.
▲ Ví dụ về phẫu thuật kéo răng
*Phẫu thuật kéo răng là gì? : Một phương pháp kéo dài tuổi thọ của răng tự nhiên bằng cách nâng răng lên để lộ nhiều đầu răng hơn và cố ý tạo thành vòng sắt.
Tuy nhiên, trong trường hợp này
Vì tình trạng viêm nặng đến chân răng
▲ Viêm sâu nặng tận chân răng
Không thể phẫu thuật kéo chân răng ở trường hợp này
Điều trị cấy ghép Implant được thực hiện sau khi nhổ răng.
▲ Điều trị cấy ghép Implant sau khi nhổ răng bị sâu đến tận chân răng do mão răng cũ
Nếu bạn không muốn trải qua điều trị
cấy ghép implant như thế này tốt nhất bạn
nên đi khám răng trước khi mão răng đi.
4. Khi lỗ sâu bên trong thân răng quá nặng khiến đầu răng và thân răng vỡ ra và rơi ra.
Nếu ở trường hợp 2 và 3 chỉ có mão răng bị rơi ra thì ở
trường hợp này phần thân răng được gắn mão răng cũng bị gãy.
Có hai tình huống chính trong trường hợp này.
Hãy cùng xem trường hợp bệnh nhân dưới đây.
Bệnh nhân đến bệnh viện vì cắn đũa bằng răng cửa
khi đang ăn khiến mão răng cửa bị gãy.
▲ Thân răng bị gãy cùng với đầu răng
Do bên trong không có dấu hiệu sâu răng hay viêm nhiễm,
chân răng còn lại nằm sâu nên răng được cứu
bằng phẫu thuật kéo răng và
đặt lại mão răng.
▲Cứu chân răng bằng phẫu thuật kéo răng
Nếu một chiếc răng bị gãy và phần
chân răng còn lại còn đủ dài thì
có thể phẫu thuật kéo ra một phần
và giữ lại phần chân răng còn lại.
▲ Gắn lại mão răng sau phẫu thuật kéo răng
Như thế này chúng tôi thậm chí còn nói
về cách điều trị bệnh nhân dựa trên những
trường hợp bệnh nhân đến bệnh viện với mão răng bị rụng.
Vì vậy, sẽ thật tuyệt nếu chúng ta có thể ngăn chặn thân
răng bị rơi, nhưng có những cách nào?
Điều đáng ngạc nhiên là mão răng thường rơi ra
khi ăn đồ ăn dính như thạch hoặc đồ ăn cứng như cà rốt sống,
cơm cháy hoặc các loại hạt.
Đừng mất cảnh giác và tốt nhất bạn nên tránh nhai những
thực phẩm này bằng răng đã được điều trị càng nhiều càng tốt.
Không có cách nào chăm sóc răng miệng ít tốn kém bằng khám răng miệng.
(Chúng tôi khuyên bạn nên đến gặp nha sĩ sáu tháng một lần, nhưng nếu việc này khó khăn...)
Ít nhất mỗi năm một lần, ngay cả khi kiểm tra sức khỏe định kỳ bảo .
Bạn nên đến nha khoa để kiểm tra răng miệng
và kiểm tra định kỳ xem liệu có vấn đề gì
với răng được bọc mão sứ hay không.
Bạn có biết rằng đồ ăn ngọt chứa đường có hại cho răng,
cho dù bạn có bọc mão răng hay không.
Đường tích tụ dọc theo thân răng và đường viền nướu
tạo điều kiện cho vi khuẩn dễ dàng phát triển.
Điều này có thể đẩy nhanh quá trình sâu răng
và cuối cùng khiến mão răng bị rơi ra.
Ngoài ra, thực phẩm có tính axit còn có
vai trò làm tổn hại đến lớp men răng.
Mặc dù mão răng che phủ răng nhưng ranh giới giữa mão răng
và nướu có thể khiến răng tiếp xúc với thực phẩm có tính axit,
ăn mòn răng bên trong và gây sâu răng.
Vì vậy, nếu bạn tiêu thụ thực phẩm có tính axit,
nên trung hòa khoang miệng bằng cách súc miệng bằng nước nhiều lần.
Thực phẩm có tính axit thường bao gồm nước chua,
nước sốt spaghetti cà chua và cà phê.
Vâng hôm nay chúng ta đã học về việc mão răng bị rơi ra.
Nếu mão răng của bạn rơi ra, bạn nên bảo quản cẩn thận
để tránh hư hỏng thêm hoặc biến dạng và nên đến nha khoa ngay.
Nếu có thể tốt nhất bạn nên đến Nha khoa nơi bạn đã điều trị,
nhưng nếu hoàn cảnh không cho phép, tốt nhất bạn nên đến nha khoa gần đó. ^^