Xin chào. Tôi là người luôn dùng tâm để điều trị giám đốc Nha khoa Dasan Barun, Kim Jeongki. ^^
Ngày nay, bệnh nhân tìm hiều rất nhiều về
phương pháp điều trị trước khi đến nha khoa
Đặc biệt nhiều bệnh nhân tìm hiểu Implant ‘kỹ thuật số’ và tìm đến.
Một số người có thể nghĩ chúng implant 'không rạch', 'không mổ' hoặc 'điều hướng',
nhưng trong bối cảnh rộng hơn, chúng đều là cùng cấy ghép implant.
‘Implant kỹ thuật số = implant điều hướng = implant không rạch/không mổ’
Tất cả các phương pháp đều sử dụng công nghệ kỹ thuật số và đặc điểm nổi bật là
ca phẫu thuật trở nên chính xác và đơn giản hơn nhờ sử dụng hướng dẫn phẫu thuật.
Hôm nay, tôi sẽ giải thích chung về Implant kỹ thuật số,
bao gồm cả implant điều hướng. Với sự tiến bộ của công nghệ kỹ thuật số,
đã có nhiều cải tiến mà bệnh nhân có thể cảm nhận.
Một trong nhiều ưu điểm là thời gian phẫu thuật được rút ngắn đáng kể.
Trong nhiều trường hợp implant có thể được lắp đặt chỉ trong 5 đến 10 phút bằng
một quy trình rất đơn giản, miễn là bệnh nhân ‘không bị thiếu xương ổ răng’.
Chúng tôi sẽ giới thiệu các công nghệ cốt lõi cho phép hoàn thành implant kỹ thuật số
một cách an toàn chỉ trong 5 phút, nguyên tắc là gì và liệu chúng có an toàn cho
những người chuẩn bị phẫu thuật implant những điều cần kiểm tra trước khi phẫu thuật.
5 phút điểm mấu chốt của implant kỹ thuật số 01. - Phẫu thuật mô phỏng implant
Công nghệ cốt lõi nhất giúp thực hiện cấy ghép trong 5 phút là
'phẫu thuật mô phỏng kỹ thuật số'.
Theo nghĩa đen, trước khi thực hiện phẫu thuật trực tiếp trong khoan miệng bệnh nhân,
bác sĩ sẽ thực hiện một ca phẫu thuật mô phỏng kỹ thuật số.
Trước hết, để thực hiện phẫu thuật mô phỏng kỹ thuật số,
cần chuyển đổi tình trạng răng miệng của bệnh nhân thành dữ liệu 3D.

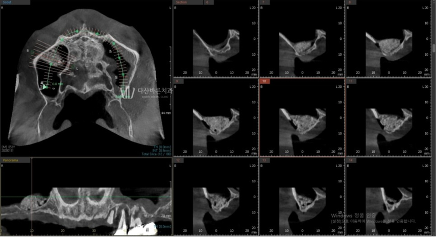
CT 3D cắt lớp (Nguồn: 3di)
Trên đây là ảnh chụp CT 3D cắt lớp giúp phân tích tình trạng xương nướu của bệnh nhân,
vị trí dây thần kinh,… và chuyển thành dữ liệu.
Máy quét miệng 3D (Nguồn: 3shape)
Trên đây là ví dụ về việc sử dụng máy quét miệng tái tạo
dữ liệu 3D giống hệt 99,9% về răng và nướu của bệnh nhân.
Bằng cách này, hình dạng của xương ổ răng và vị trí của dây thần kinh mà trước đây chỉ được
biết bằng cách rạch nướu, giờ đây có thể được xác nhận thông qua dữ liệu 3D mà không cần rạch nướu.
Dựa trên dữ liệu thu được một cuộc phẫu thuật mô phỏng sẽ được thực hiện bằng kỹ thuật số.
Sau khi phân tích vị trí tối ưu để implant được sử dụng lâu nhất và bền nhất,
chúng tôi hầu như cấy trước implant vào vị trí đó.
Trong quá trình này, chúng tôi không chỉ lập kế hoạch về góc và vị trí đặt implant
tối ưu mà còn xem xét nhiều khía cạnh khác nhau để đảm bảo không có vấn đề hoặc tác dụng phụ như dự kiến.

Lập kế hoạch vị trí và góc đặt implant tối ưu
Bằng cách này không chỉ vị trí hoặc góc đặt implant có thể được lên
kế hoạch trước trong quá trình phẫu thuật mô phỏng trên máy tính.

Khớp nhai implant, thiết kế mão răng
Khi thiết kế trước mão răng implant có tính đến khớp cắn.
Trên thực tế, đây là một trong những lợi thế chính.
Trước đây, mão răng được thiết kế để khớp với vị trí sau khi cấy ghép implant,
nhưng với công nghệ kỹ thuật số, mão răng và implant được thiết kế/chế tác
cùng lúc nên sẽ tránh được một số tác dụng phụ như các vấn đề về khớp cắn
như cắn quá mức và vết cắn hở và thức ăn dính vào bạn có thể thấy điều đó.
Lên kế hoạch đặt trụ implant tránh dây thần kinh hàm dưới
Ngoài ra, vị trí chính xác của dây thần kinh
chỉ có thể được xác định bằng dữ liệu 3D.
Thông qua đó, chiều dài và góc của mô cấy có thể
được điều chỉnh để tránh chạm vào dây thần kinh trong quá trình phẫu thuật,
từ đó ngăn ngừa các tác dụng phụ như tổn thương dây thần kinh.
Sau khi xem xét tính ổn định của phẫu thuật thông qua phẫu thuật
mô phỏng trên máy tính, vị trí đặt cuối cùng sẽ được xác định.
Sau khi một cuộc phẫu thuật mô phỏng được thực hiện bằng công nghệ kỹ thuật số,
cuộc phẫu thuật thực tế chỉ cần được cấy ghép theo kế hoạch.
Vì vậy việc cấy ghép 5 phút đã trở thành hiện thực.
Như bạn có thể thấy từ phần giải thích ở trên,
vì có một quy trình phẫu thuật giả trước khi phẫu thuật nên có thể nói là
an toàn hơn so với cấy ghép hiện có, vốn mất nhiều thời gian.
Vì vậy, nói là hết nhanh, không an toàn, không mạnh là sai.
Những điểm chính implant kỹ thuật số trong 5 phút 02. - Hướng dẫn phẫu thuật kỹ thuật số (còn gọi là hướng dẫn điều hướng)
Công nghệ trọng điểm thứ hai giúp rút ngắn thời gian phẫu thuật
cấy ghép Implant đó là hướng dẫn phẫu thuật Implant(surgical guide)
Ở Hàn Quốc nó thường được gọi là hướng dẫn điều hướng.
Cũng giống như có nhiều sự khác biệt giữa những gì
bạn nghĩ trong đầu và những gì bạn thực sự làm,
cho dù bạn lên kế hoạch phẫu thuật tốt đến đâu thì vẫn có thể
có những sai sót trong kế hoạch khi đặt implant, gây ra sự thất bại trong quá trình phẫu thuật implant.
Hướng dẫn phẫu thuật là một thiết bị được tạo ra để giảm sai sót giữa lập kế hoạch và phẫu thuật.
Nói cách khác, nó là một thiết bị đánh dấu vị trí đặt implant bắt nguồn từ phân tích của máy tính trên khung,
cho phép đặt implant theo dấu và cho phép thực hiện phẫu thuật mà không sai số 1 mm.
Thông thường, sau khi lập kế hoạch phẫu thuật cấy ghép như hình dưới đây,
một lỗ sẽ được khoan tại vị trí đặt và một hướng dẫn phẫu thuật kỹ thuật số được thiết kế cùng nhau.
(Lỗ là nơi cấy ghép implant)

Thiết kế hướng dẫn phẫu thuật kỹ thuật số
Hướng dẫn phẫu thuật kỹ thuật số được thiết kế
trên máy tính sẽ được in ngay lập tức bằng thiết bị in 3D.
Hướng dẫn phẫu thuật in 3d (Nguồn: Image3dconversion)
Hướng dẫn phẫu thuật kỹ thuật số cuối cùng được sử dụng
sau khi in và trải qua quá trình xử lý bổ sung trông như sau.
Tại vị trí đặt implant đã được khoan một lỗ nên tất cả
những gì bạn phải làm là đặt implant theo đúng lỗ.

Hướng dẫn phẫu thuật kỹ thuật số Implant

Đặt trụ implant bằng máng phẫu thuật (Nguồn: Pardinas)
Nhờ có hướng dẫn phẫu thuật, có thể thực hiện phẫu thuật bằng cách khoan
một lỗ tối thiểu tại vị trí đặt implant mà không cần phải rạch trên nướu của bệnh nhân.
Không chỉ rút ngắn thời gian phẫu thuật mà quy trình phẫu thuật cũng trở nên đơn giản hơn.
Chỉ vài năm trước phẫu thuật implant
thường phải rạch nướu bằng lưỡi dao nha khoa(dao)
và một số giai đoạn dùng khoan và dụng cụ cấy ghép vào.
Vì vậy, nó giống như một cuộc phẫu thuật lớn là
một cuộc phẫu thuật rất nặng nề đối với bệnh nhân.

Tuy nhiên như bạn thấy,
phẫu thuật cấy ghép implant hiện nay đơn giản hơn điều trị sâu răng.
CASE implant kỹ thuật số 5 phút đơn giản
Để các bạn dễ hiểu hơn về lời giải thích trên, tôi sẽ lấy trường hợp
một bệnh nhân đến khám tại phòng khám nha khoa của chúng tôi làm ví dụ.
Bệnh nhân này đến bệnh viện với tình trạng
mất răng hàm trên và răng phải đã lâu.
Thoạt nhìn, bệnh nhân đã mất quá nhiều xương nướu để có thể
cấy ghép implant nhưng đã chụp CT 3D để chẩn đoán chính xác hơn độ dày và mật độ xương.

Vì răng đã mất lâu ngày và xương hàm bị mất nhiều
nên cần phải trồng răng implant ghép xương.
Sau khi ghép xương, vị trí và góc đặt implant được lên kế hoạch thông qua quy trình mô phỏng.




Ảnh trên là ảnh chụp quá trình cấy ghép implant mô phỏng.
Với bức ảnh này, bạn có thể kiểm tra trước độ dày của xương
có đủ hay không khi trụ implant (vít, vật cố định) nằm bên trong xương nướu,
sau đó đặt trụ implant ở vị trí và góc chính xác hơn.

Sau khi điều chỉnh khớp cắn và độ thẳng hàng giữa răng trên và răng dưới,
hướng dẫn phẫu thuật kỹ thuật số cuối cùng được tạo ra dựa trên các chi tiết phẫu thuật đã được lên kế hoạch.

Sau khi gắn thanh dẫn hướng phẫu thuật kỹ thuật số đã hoàn chỉnh vào miệng bệnh nhân,
bạn có thể dễ dàng hoàn tất việc đặt implant bằng cách lắp nó vào lỗ.
Mặc dù bệnh nhân không đủ xương để đặt implant
nhưng ca phẫu thuật đã thành công nhờ ghép xương
phù hợp và lập kế hoạch phẫu thuật kỹ thuật số kỹ lưỡng.
Nếu bạn muốn biết thêm chi tiết về kỹ thuật số
bạn có thể tham khảo bài viết trước của tôi.. ^^ (link bên dưới)
https://blog.naver.com/PostView.naver?blogId=dsbrdent&logNo=222374727160&categoryNo=34&parentCategoryNo=34&from=thumbnailList
Vâng, cảm ơn bạn đã đọc bài viết dài này ngày hôm nay, và tôi sẽ kết thúc bằng một bản tóm tắt.. ^^
Tóm tắt
- Với sự phát triển của nha khoa kỹ thuật số, việc cấy ghép implant có thể được hoàn thành chỉ trong 5 phút.
- Điểm mấu chốt của cấy ghép 5 phút là phẫu thuật mô phỏng kỹ thuật số và hướng dẫn phẫu thuật kỹ thuật số.
- Nếu muốn cấy ghép Implant dễ dàng, bạn cũng có thể lựa chọn nha khoa phù hợp với điểm mấu chốt của mình.
[Nguồn] Cấy ghép kỹ thuật số dễ dàng thực hiện trong 5 phút Tác giả Nha sĩ đi xe đạp
Xin chào. Tôi là người luôn dùng tâm để điều trị giám đốc Nha khoa Dasan Barun, Kim Jeongki. ^^
Ngày nay, bệnh nhân tìm hiều rất nhiều về
phương pháp điều trị trước khi đến nha khoa
Đặc biệt nhiều bệnh nhân tìm hiểu Implant ‘kỹ thuật số’ và tìm đến.
Một số người có thể nghĩ chúng implant 'không rạch', 'không mổ' hoặc 'điều hướng',
nhưng trong bối cảnh rộng hơn, chúng đều là cùng cấy ghép implant.
‘Implant kỹ thuật số = implant điều hướng = implant không rạch/không mổ’
Tất cả các phương pháp đều sử dụng công nghệ kỹ thuật số và đặc điểm nổi bật là
ca phẫu thuật trở nên chính xác và đơn giản hơn nhờ sử dụng hướng dẫn phẫu thuật.
Hôm nay, tôi sẽ giải thích chung về Implant kỹ thuật số,
bao gồm cả implant điều hướng. Với sự tiến bộ của công nghệ kỹ thuật số,
đã có nhiều cải tiến mà bệnh nhân có thể cảm nhận.
Một trong nhiều ưu điểm là thời gian phẫu thuật được rút ngắn đáng kể.
Trong nhiều trường hợp implant có thể được lắp đặt chỉ trong 5 đến 10 phút bằng
một quy trình rất đơn giản, miễn là bệnh nhân ‘không bị thiếu xương ổ răng’.
Chúng tôi sẽ giới thiệu các công nghệ cốt lõi cho phép hoàn thành implant kỹ thuật số
một cách an toàn chỉ trong 5 phút, nguyên tắc là gì và liệu chúng có an toàn cho
những người chuẩn bị phẫu thuật implant những điều cần kiểm tra trước khi phẫu thuật.
Công nghệ cốt lõi nhất giúp thực hiện cấy ghép trong 5 phút là
'phẫu thuật mô phỏng kỹ thuật số'.
Theo nghĩa đen, trước khi thực hiện phẫu thuật trực tiếp trong khoan miệng bệnh nhân,
bác sĩ sẽ thực hiện một ca phẫu thuật mô phỏng kỹ thuật số.
Trước hết, để thực hiện phẫu thuật mô phỏng kỹ thuật số,
cần chuyển đổi tình trạng răng miệng của bệnh nhân thành dữ liệu 3D.
CT 3D cắt lớp (Nguồn: 3di)
Trên đây là ảnh chụp CT 3D cắt lớp giúp phân tích tình trạng xương nướu của bệnh nhân,
vị trí dây thần kinh,… và chuyển thành dữ liệu.
Trên đây là ví dụ về việc sử dụng máy quét miệng tái tạo
dữ liệu 3D giống hệt 99,9% về răng và nướu của bệnh nhân.
Bằng cách này, hình dạng của xương ổ răng và vị trí của dây thần kinh mà trước đây chỉ được
biết bằng cách rạch nướu, giờ đây có thể được xác nhận thông qua dữ liệu 3D mà không cần rạch nướu.
Dựa trên dữ liệu thu được một cuộc phẫu thuật mô phỏng sẽ được thực hiện bằng kỹ thuật số.
Sau khi phân tích vị trí tối ưu để implant được sử dụng lâu nhất và bền nhất,
chúng tôi hầu như cấy trước implant vào vị trí đó.
Trong quá trình này, chúng tôi không chỉ lập kế hoạch về góc và vị trí đặt implant
tối ưu mà còn xem xét nhiều khía cạnh khác nhau để đảm bảo không có vấn đề hoặc tác dụng phụ như dự kiến.
Lập kế hoạch vị trí và góc đặt implant tối ưu
Bằng cách này không chỉ vị trí hoặc góc đặt implant có thể được lên
kế hoạch trước trong quá trình phẫu thuật mô phỏng trên máy tính.
Khớp nhai implant, thiết kế mão răng
Khi thiết kế trước mão răng implant có tính đến khớp cắn.
Trên thực tế, đây là một trong những lợi thế chính.
Trước đây, mão răng được thiết kế để khớp với vị trí sau khi cấy ghép implant,
nhưng với công nghệ kỹ thuật số, mão răng và implant được thiết kế/chế tác
cùng lúc nên sẽ tránh được một số tác dụng phụ như các vấn đề về khớp cắn
như cắn quá mức và vết cắn hở và thức ăn dính vào bạn có thể thấy điều đó.
Ngoài ra, vị trí chính xác của dây thần kinh
chỉ có thể được xác định bằng dữ liệu 3D.
Thông qua đó, chiều dài và góc của mô cấy có thể
được điều chỉnh để tránh chạm vào dây thần kinh trong quá trình phẫu thuật,
từ đó ngăn ngừa các tác dụng phụ như tổn thương dây thần kinh.
Sau khi xem xét tính ổn định của phẫu thuật thông qua phẫu thuật
mô phỏng trên máy tính, vị trí đặt cuối cùng sẽ được xác định.
Sau khi một cuộc phẫu thuật mô phỏng được thực hiện bằng công nghệ kỹ thuật số,
cuộc phẫu thuật thực tế chỉ cần được cấy ghép theo kế hoạch.
Vì vậy việc cấy ghép 5 phút đã trở thành hiện thực.
Như bạn có thể thấy từ phần giải thích ở trên,
vì có một quy trình phẫu thuật giả trước khi phẫu thuật nên có thể nói là
an toàn hơn so với cấy ghép hiện có, vốn mất nhiều thời gian.
Vì vậy, nói là hết nhanh, không an toàn, không mạnh là sai.
Công nghệ trọng điểm thứ hai giúp rút ngắn thời gian phẫu thuật
cấy ghép Implant đó là hướng dẫn phẫu thuật Implant(surgical guide)
Ở Hàn Quốc nó thường được gọi là hướng dẫn điều hướng.
Cũng giống như có nhiều sự khác biệt giữa những gì
bạn nghĩ trong đầu và những gì bạn thực sự làm,
cho dù bạn lên kế hoạch phẫu thuật tốt đến đâu thì vẫn có thể
có những sai sót trong kế hoạch khi đặt implant, gây ra sự thất bại trong quá trình phẫu thuật implant.
Hướng dẫn phẫu thuật là một thiết bị được tạo ra để giảm sai sót giữa lập kế hoạch và phẫu thuật.
Nói cách khác, nó là một thiết bị đánh dấu vị trí đặt implant bắt nguồn từ phân tích của máy tính trên khung,
cho phép đặt implant theo dấu và cho phép thực hiện phẫu thuật mà không sai số 1 mm.
Thông thường, sau khi lập kế hoạch phẫu thuật cấy ghép như hình dưới đây,
một lỗ sẽ được khoan tại vị trí đặt và một hướng dẫn phẫu thuật kỹ thuật số được thiết kế cùng nhau.
(Lỗ là nơi cấy ghép implant)
Thiết kế hướng dẫn phẫu thuật kỹ thuật số
Hướng dẫn phẫu thuật kỹ thuật số được thiết kế
trên máy tính sẽ được in ngay lập tức bằng thiết bị in 3D.
Hướng dẫn phẫu thuật kỹ thuật số cuối cùng được sử dụng
sau khi in và trải qua quá trình xử lý bổ sung trông như sau.
Tại vị trí đặt implant đã được khoan một lỗ nên tất cả
những gì bạn phải làm là đặt implant theo đúng lỗ.
Hướng dẫn phẫu thuật kỹ thuật số Implant
Đặt trụ implant bằng máng phẫu thuật (Nguồn: Pardinas)
Nhờ có hướng dẫn phẫu thuật, có thể thực hiện phẫu thuật bằng cách khoan
một lỗ tối thiểu tại vị trí đặt implant mà không cần phải rạch trên nướu của bệnh nhân.
Không chỉ rút ngắn thời gian phẫu thuật mà quy trình phẫu thuật cũng trở nên đơn giản hơn.
Chỉ vài năm trước phẫu thuật implant
thường phải rạch nướu bằng lưỡi dao nha khoa(dao)
và một số giai đoạn dùng khoan và dụng cụ cấy ghép vào.
Vì vậy, nó giống như một cuộc phẫu thuật lớn là
một cuộc phẫu thuật rất nặng nề đối với bệnh nhân.
Tuy nhiên như bạn thấy,
phẫu thuật cấy ghép implant hiện nay đơn giản hơn điều trị sâu răng.
Để các bạn dễ hiểu hơn về lời giải thích trên, tôi sẽ lấy trường hợp
một bệnh nhân đến khám tại phòng khám nha khoa của chúng tôi làm ví dụ.
Bệnh nhân này đến bệnh viện với tình trạng
mất răng hàm trên và răng phải đã lâu.
Thoạt nhìn, bệnh nhân đã mất quá nhiều xương nướu để có thể
cấy ghép implant nhưng đã chụp CT 3D để chẩn đoán chính xác hơn độ dày và mật độ xương.
Vì răng đã mất lâu ngày và xương hàm bị mất nhiều
nên cần phải trồng răng implant ghép xương.
Sau khi ghép xương, vị trí và góc đặt implant được lên kế hoạch thông qua quy trình mô phỏng.
Ảnh trên là ảnh chụp quá trình cấy ghép implant mô phỏng.
Với bức ảnh này, bạn có thể kiểm tra trước độ dày của xương
có đủ hay không khi trụ implant (vít, vật cố định) nằm bên trong xương nướu,
sau đó đặt trụ implant ở vị trí và góc chính xác hơn.
Sau khi điều chỉnh khớp cắn và độ thẳng hàng giữa răng trên và răng dưới,
hướng dẫn phẫu thuật kỹ thuật số cuối cùng được tạo ra dựa trên các chi tiết phẫu thuật đã được lên kế hoạch.
Sau khi gắn thanh dẫn hướng phẫu thuật kỹ thuật số đã hoàn chỉnh vào miệng bệnh nhân,
bạn có thể dễ dàng hoàn tất việc đặt implant bằng cách lắp nó vào lỗ.
Mặc dù bệnh nhân không đủ xương để đặt implant
nhưng ca phẫu thuật đã thành công nhờ ghép xương
phù hợp và lập kế hoạch phẫu thuật kỹ thuật số kỹ lưỡng.
Nếu bạn muốn biết thêm chi tiết về kỹ thuật số
bạn có thể tham khảo bài viết trước của tôi.. ^^ (link bên dưới)
https://blog.naver.com/PostView.naver?blogId=dsbrdent&logNo=222374727160&categoryNo=34&parentCategoryNo=34&from=thumbnailList
Vâng, cảm ơn bạn đã đọc bài viết dài này ngày hôm nay, và tôi sẽ kết thúc bằng một bản tóm tắt.. ^^
Tóm tắt
- Với sự phát triển của nha khoa kỹ thuật số, việc cấy ghép implant có thể được hoàn thành chỉ trong 5 phút.
- Điểm mấu chốt của cấy ghép 5 phút là phẫu thuật mô phỏng kỹ thuật số và hướng dẫn phẫu thuật kỹ thuật số.
- Nếu muốn cấy ghép Implant dễ dàng, bạn cũng có thể lựa chọn nha khoa phù hợp với điểm mấu chốt của mình.
[Nguồn] Cấy ghép kỹ thuật số dễ dàng thực hiện trong 5 phút Tác giả Nha sĩ đi xe đạp