3 phương pháp điều trị viêm quanh implant
Xin chào. Tôi là Kim Jeongki Giám đốc điều hành của Nha khoa Dasan Barun, viện dẫn đầu về công nghệ nha khoa kỹ thuật số.
Thỉnh thoảng có những người đến nha khoa của chúng tôi vì họ gặp vấn đề sau khi cấy ghép implant ở nha khoa khác.
Phần lớn đến viện với các triệu chứng viêm quanh implant.
Thật đáng tiếc vì đã tốn rất nhiều tiền và thời gian cho việc điều trị implant
Hôm nay, tôi xin chia sẻ vì sao lại xảy ra tình trạng viêm quanh implant,
nguyên nhân và 3 phương pháp điều trị .
Tôi nghĩ sẽ hữu ích cho những ai đã hoặc đang chuẩn bị cấy ghép implant.
Q1. Tại sao viêm quanh implant xảy ra?
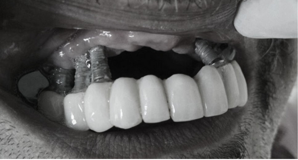
Nếu vùng cấy ghép implant không được đánh răng kỹ
hoặc nướu mất tính đàn hồi do lão hóa,
nướu có thể bị tụt dần (như hình bên dưới) và
trụ implant gắn trong nướu có thể bị lộ ra bên ngoài.

Trụ Implant lộ ra bên ngoài.
Như hình trên trụ implant có hình
dạng giống như một chiếc ốc vít.
Nếu xoắn ốc này lộ ra bên ngoài,
thức ăn có thể mắc vào vùng rỗng vi khuẩn có thể xâm nhập.
Một khi điều đó xảy ra, không dễ để làm sạch nó chỉ bằng cách đánh răng.
Vi khuẩn xâm nhập vào khoảng sâu giữa implant và nướu,
sẽ ăn chất thải thức ăn và sinh sôi nảy nở, gây viêm và phá hủy mô xương xung quanh.
Tình trạng này được gọi là 'viêm quanh implant'.

Viêm xung quanh Implant
Nếu viêm quanh implant không được điều trị, mô xương xung quanh implant sẽ phá hủy
và dần trở nên thấp hơn. Ngoài ra, trụ implant cuối cùng có thể bị rơi và thậm chí
cả những chiếc răng tự nhiên xung quanh cũng có thể bị rụng.
Bệnh viêm quanh implant này càng nguy hiểm hơn vì không có triệu chứng gì đáng chú ý.
Điều này là do trụ implant không được kết nối với các dây thần kinh nên không cảm thấy đau.
(Răng thật có dây thần kinh nên cảm thấy đau, nhưng implant không có dây thần kinh nên không có cảm giác đau.)
Vì vậy, những ai đã cấy ghép implant nên đến
nha khoa để kiểm tra định kỳ thường xuyên.
Q2. Nếu bị viêm quanh implant thì nên tháo trụ implant ra. Điều này có đúng không?
Tháo implant cho tất cả các trường hợp là không đúng
Tùy thuộc vào mức độ tiến triển của viêm quanh implant và
tình trạng các răng xung quanh mà có thể cân nhắc 3 phương pháp điều trị chính
: phẫu thuật thẩm mỹ implant, tái phẫu thuật implant và cầu răng implant.
(Tham khảo hình ảnh bên dưới)

Để giải thích chi tiết hơn nội dung phía trên.
(1) Phẫu thuật thẩm mỹ Implant
Phương pháp điều trị ngăn chặn sự phát triển của vi khuẩn và tình trạng mất xương thêm bằng cách loại bỏ các mắc xoắn trụ impalnt(= thẩm mỹ implant).
: Khi độ sâu tiêu xương xung quanh nằm trong khoảng 1/3 ‘chiều dài trụ implant’
(tương ứng với vùng màu xanh lá cây trong hình trên)
Đây là một lựa chọn điều trị mà bạn có thể muốn xem xét.
Nếu mô xương đã tan chảy còn khoảng 1/3 trụ implant
thì 2/3 trụ implant vẫn cố định vào xương nướu nên
ít có nguy cơ trụ implant bị lung lay hoặc rơi ra ngoài
Vì vậy, không cần tháo implant ra nữa,
Nó có thể được điều trị dễ dàng bằng Implantoplasty (phẫu thuật thẩm mỹ implant).
Đúng như tên gọi của phương pháp điều trị,Implantoplasty loại bỏ các
mắc xoắn lộ ra của trụ (=phẫu thuật thẩm mỹ implant) và ngăn không cho thức ăn bị mắc kẹt,
do đó loại bỏ không gian cho vi khuẩn phát triển.
Mặc dù phương pháp điều trị này không tái tạo lại xương nướu một cách đáng kể
nhưng nó có tác dụng tái tạo/phục hồi xương ổ răng nhẹ và ngăn ngừa sự phát triển thêm của vi khuẩn và mất xương ổ răng.
Nói cách khác, viêm quanh implant có thể được điều trị bằng một ca phẫu thuật cấy ghép đơn giản kéo dài khoảng 10 phút.
(2) Tái phẫu thuật implant
Phương pháp điều trị là Implant được tháo ra, tái tạo xương ổ răng sau đó trồng lại implant tại vị trí cũ.
: Độ sâu tiêu xương xung quanh implant lớn hơn 1/3 ‘chiều dài trụ implant’ (tương ứng với vùng màu đỏ trong hình trên)
Đây là phương pháp điều trị có thể cân nhắc khi mức độ tiêu xương ổ răng không lan rộng.
Nếu hơn 1/3 xương nướu đã tan chảy thì có thể nói viêm quanh implant đã tiến triển ở mức độ đáng kể.
Lúc này, do chiều dài của implant cố định vào xương nướu chưa đến 2/3 nên
nền tảng để nâng đỡ bản thân implant là chưa đủ.
Vì vậy, các triệu chứng như túi độn bị rung hoặc rơi ra ngoài bắt đầu xảy ra.
Tại thời điểm này, nếu phạm vi tiêu xương nướu không rộng (= trong vòng 1 đến 2 răng),
phương pháp điều trị là loại bỏ implant có vấn đề, thực hiện ghép xương,
tái tạo xương nướu và trồng lại implant ở cùng một vị trí có thể được xem xét.
Mặc dù bạn có thể mong đợi hiệu quả tái tạo xương nướu đáng chú ý
nhưng thời gian điều trị để phục hồi xương ổ răng có thể khá dài.
(3) Cầu răng Implant
Phương pháp điều trị giúp tái tạo xương sau khi tháo implant ở khu vực xảy ra viêm quanh implant, nhưng thay vì trồng lại implant ở
cùng khu vực, implant được trồng ở khu vực lân cận có xương nướu chắc khỏe và được kết nối bằng cầu răng.
: Độ sâu tiêu xương xung quanh implant lớn hơn 1/3 ‘chiều dài trụ implant’ (tương ứng với vùng màu đỏ trong hình trên)
Đây là phương pháp điều trị có thể được cân nhắc khi mức độ tiêu xương nướu lan rộng.
So với (2) điều này áp dụng cho những trường hợp xương ổ răng bị mất trên diện rộng.
Thông thường, trong trường hợp này, rất có thể không chỉ chiều cao mà cả chiều rộng của xương nướu cũng bị thu hẹp.
Thông thường, để đặt implant cần có chiều rộng xương (độ dày xương nướu)
lớn hơn đường kính của trụ implant
ít nhất 3 mm để tái tạo lại xương nướu
đủ để trồng lại implant trong trường hợp mất xương nướu rộng.
Thời gian điều trị có thể kéo dài hơn nhiều so với (2).
Điều này là do cả chiều rộng và chiều cao của xương ổ răng đều phải được tái tạo lại.
Ngoài ra nếu muốn đặt lại trụ Implant ở vùng tái tạo xương nướu,
bạn phải đợi cho đến khi xương nướu lành hẳn và cứng lại ở mức độ nào đó.
Vì vậy, người bệnh cần phải nỗ lực đi theo bác sĩ mà không thấy mệt mỏi.
Tuy nhiên, vì bệnh nhân bình thường không muốn đến nha sĩ trong thời gian dài
nên chúng tôi khuyên bạn nên điều trị cầu răng bằng cấy ghép thay vì phẫu thuật chỉnh sửa cấy ghép.
Vì điều trị cầu răng implant dựa trên xương ổ răng vốn đã chắc khỏe
nên không cần phải đợi nướu phục hồi, điều này rút ngắn đáng kể thời gian điều trị và
giảm chi phí ghép xương, nên đây trở thành phương pháp điều trị mang lại mức độ hài lòng cao cho bệnh nhân.
Bây giờ tôi sẽ giải thích những nội dung được giải thích ở trên
một cách dễ hiểu hơn thông qua các trường hợp bệnh nhân thực tế.
Trụ implant đã được trồng rất lâu có vấn đề
Khoảng 3 đến 4 ngày trước răng cửa hàm dưới đã bị lung lay
và rụng tự nhiên đã tìm đến Nha Khoa
Như bạn có thể thấy trong bức ảnh bên dưới,
một số implant đã được trồng tại một nha khoa khác.
(Hình bên dưới) Tình trạng viêm xung quanh trụ implant đã cấy ghép trước đó khiến nướu bị tụt xuống và
chân răng (xương ổ răng) nâng đỡ răng bị mất khiến răng tự nhiên bị rụng.

(Ảnh bên dưới) Chúng ta hãy xem kỹ hơn bức ảnh toàn cảnh 3D.
Bạn có thể thấy đường viền nướu vốn đáng ra phải là
đường chấm màu xanh lam nay đã chìm xuống đường
viền màu vàng đậm nằm ở đầu chân răng.
Khi nướu đã tụt đến mức này thì việc răng rụng cũng không có gì lạ,
răng tự nhiên bên cạnh đã ăn sâu vào chân răng nên sẽ rụng sớm thôi.

(Hình bên dưới) Nếu quan sát tình trạng viêm xung quanh trụ implant,
bạn có thể thấy xương nướu ở vùng răng cấy ghép phía dưới đặc biệt bị lõm xuống so với các vùng khác.
(Vạch liền màu vàng là đường xương nướu)
Ngoài ra, xác nhận xương nướu răng hàm trên đã tụt xuống đáng kể, chỉ bằng một nửa so với trụ implant.
Cả hàm trên và dưới đều là những biểu hiện điển hình của viêm quanh implant.

Như trong ảnh bên dưới, chỉ có phần đầu của chân răng implant bị mắc kẹt trong nướu,
có thể thấy nó dính chặt vào nhau như thể sắp rụng ra.
Khu vực cấy ghép răng phía trước của bệnh nhân thực tế có tình trạng tương tự như ảnh bên dưới.
(Trước khi điều trị tôi không biết ảnh miệng của bệnh nhân nên đã xóa và thay bằng ảnh để tham khảo.. ^^;;)

Nguồn : www.peri-implantitis.info
Như đã giải thích ở trên, nếu tiêu xương ổ răng ở mức độ này thì các
trụ implant hiện có phải được loại bỏ và phải thực hiện phẫu thuật lại hoặc điều trị cầu răng.
Vậy còn các răng implant khác thì sao? Chúng ta có nên loại bỏ tất cả chúng?
Tôi sẽ gợi ý cho bạn ở hình bên dưới.
(Đường liền màu vàng là đường xương nướu nâng đỡ răng và chân răng implant)

Như đã giải thích ở trên, cấy ghép ① và ②
có xương nướu đã tan chảy hơn 1/3 chiều dài của trụ implant cần phải được loại bỏ.
Ở phần ① và ②, như trong ảnh,
độ sâu của xương ổ răng bị mất sâu và lan rộng,
do đó thay vì trồng lại implant ở khu vực đó,
implant được trồng ở xương ổ răng xung quanh tương đối khỏe mạnh
và cầu răng implant được kết nối . Bạn có thể lên
kế hoạch cho phương pháp điều trị ‘cầu răng implant’.
Trong trường hợp cấy ghép số ③,
có thể xây dựng kế hoạch điều trị để ngăn ngừa tình trạng
viêm nặng hơn và mất xương nướu thêm thông qua phẫu thuật thẩm mỹ
Implant mà không cần tháo implant đã cấy và để cứu implant hiện tại càng nhiều càng tốt.
Kết quả điều trị
Ảnh dưới đây là ảnh chụp X-quang toàn cảnh quá trình đang điều trị.
Răng cửa hàm trên và hàm dưới đã phải tháo trụ implant do tiêu xương nướu nhiều do viêm quanh implant.
Ngoài ra, việc điều trị cấy ghép implant cũng được thực hiện ở các răng hàm
trên vốn chưa có răng và các răng hàm dưới sẽ rụng tự nhiên trong thời gian sắp tới.
Ngoài ra, một phẫu thuật thẩm mỹ implant đơn giản đã được thực hiện trên implant
hiện có ở phía răng hàm bên trái để ngăn ngừa mất thêm xương nướu.

(Hình bên dưới) Ở răng cửa trên và dưới nơi implant đã được tháo ra,
xương nướu được tái tạo thông qua ghép xương cùng lúc với việc implant được tháo ra.
Có vẻ như xương nướu vốn bị lõm xuống đã phục hồi trở lại hơi phẳng.

Tái tạo xương sau khi tháo implant
(Hình bên dưới) Ngoài ra, do răng bị mất đã lâu bị bỏ quên ở vùng răng hàm trên,
xương ổ răng còn lại không nhiều nên xương ổ răng được gia cố bằng phương pháp
‘nâng xoang hàm trên’ rồi tiến hành điều trị cấy ghép implant.

Để giúp bạn nhai thức ăn lành mạnh như trước đây,
chúng tôi bắt đầu điều trị răng hàm của bạn một cách nhanh chóng.
Ảnh bên dưới là ảnh chụp X-quang của mão răng implant đã hoàn thiện cho răng hàm đầu tiên.

Vùng răng cửa hàm dưới bị tiêu xương nướu nhiều nhất.
Chiều cao xương nướu gần như bình thường.
sự phục hồi đáng chú ý được xác nhận.
Kết quả điều trị
(Ảnh bên dưới) Đây là ảnh X-quang toàn cảnh được chụp sau khi bộ phận giả cấy ghép cuối cùng được hoàn thành.
Như đã giải thích ở trên, vùng răng cửa nơi xương hàm bị tiêu dần và yếu đi
đã được phục hồi bằng cách tái tạo lại xương nướu, nhưng không trồng lại trụ implant tại khu vực đó,
trụ implant lại được trồng vào vùng xương nướu khỏe mạnh xung quanh và kết nối với cầu răng.
Cấy ghép implant răng hàm bên trái được điều trị bằng phẫu thuật thẩm mỹ implant để ngăn ngừa mất xương hàm thêm.

Ở ảnh sau trên, răng cửa dưới nhìn khá dài nhưng nếu nhìn ảnh
thực tế bạn sẽ không có cảm giác như vậy chút nào.
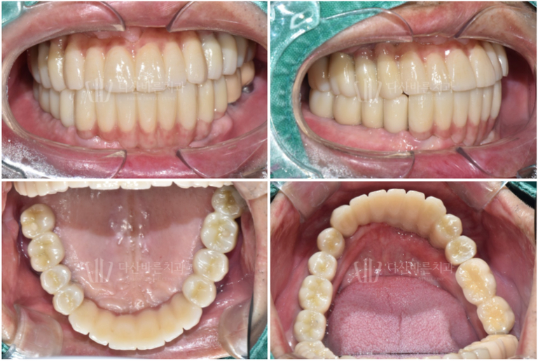
Ảnh bên dưới là ảnh chụp hoàn chỉnh bằng miệng.
Vì tính thẩm mỹ là khía cạnh quan trọng nhất của răng cửa nên
chúng tôi đã thêm vật liệu sứ màu hồng vào
những vùng nướu có vẻ hơi thụt vào để tạo vẻ tự nhiên.
(Trong phim X-quang bên trên, ngay cả vùng nướu cũng có màu trắng,
khiến răng trông dài hơn, nhưng thực tế thì bạn có thể thấy tính thẩm mỹ đã được cải thiện đáng kể. ^^)

Chúng tôi rất vui mừng vì quá trình điều trị đã kết thúc thành công và
bệnh nhân đã lấy lại được cảm giác ăn nhai khỏe mạnh như trước ^^

Tôi xin gửi lời cảm ơn chân thành đến những bệnh nhân đã tin tưởng và điều trị tốt trong thời gian dài.
Xin cảm ơn những bệnh nhân đã cho phép chúng tôi đăng ảnh lâm sàng của họ lên blog của mình để giúp đỡ những người
khác có triệu chứng tương tự. Những bức ảnh trên blog này được đăng với sự đồng ý bằng văn bản của bệnh nhân.
Bài đăng này được viết bởi Kim Jeongki, giám đốc Nha khoa Dasan Barun.
[Nguồn] 3 cách điều trị viêm quanh implant Tác giả Nha sĩ đi xe đạp
Xin chào. Tôi là Kim Jeongki Giám đốc điều hành của Nha khoa Dasan Barun, viện dẫn đầu về công nghệ nha khoa kỹ thuật số.
Thỉnh thoảng có những người đến nha khoa của chúng tôi vì họ gặp vấn đề sau khi cấy ghép implant ở nha khoa khác.
Phần lớn đến viện với các triệu chứng viêm quanh implant.
Thật đáng tiếc vì đã tốn rất nhiều tiền và thời gian cho việc điều trị implant
Hôm nay, tôi xin chia sẻ vì sao lại xảy ra tình trạng viêm quanh implant,
nguyên nhân và 3 phương pháp điều trị .
Tôi nghĩ sẽ hữu ích cho những ai đã hoặc đang chuẩn bị cấy ghép implant.
Nếu vùng cấy ghép implant không được đánh răng kỹ
hoặc nướu mất tính đàn hồi do lão hóa,
nướu có thể bị tụt dần (như hình bên dưới) và
trụ implant gắn trong nướu có thể bị lộ ra bên ngoài.
Trụ Implant lộ ra bên ngoài.
Như hình trên trụ implant có hình
dạng giống như một chiếc ốc vít.
Nếu xoắn ốc này lộ ra bên ngoài,
thức ăn có thể mắc vào vùng rỗng vi khuẩn có thể xâm nhập.
Một khi điều đó xảy ra, không dễ để làm sạch nó chỉ bằng cách đánh răng.
Vi khuẩn xâm nhập vào khoảng sâu giữa implant và nướu,
sẽ ăn chất thải thức ăn và sinh sôi nảy nở, gây viêm và phá hủy mô xương xung quanh.
Tình trạng này được gọi là 'viêm quanh implant'.
Viêm xung quanh Implant
Nếu viêm quanh implant không được điều trị, mô xương xung quanh implant sẽ phá hủy
và dần trở nên thấp hơn. Ngoài ra, trụ implant cuối cùng có thể bị rơi và thậm chí
cả những chiếc răng tự nhiên xung quanh cũng có thể bị rụng.
Bệnh viêm quanh implant này càng nguy hiểm hơn vì không có triệu chứng gì đáng chú ý.
Điều này là do trụ implant không được kết nối với các dây thần kinh nên không cảm thấy đau.
(Răng thật có dây thần kinh nên cảm thấy đau, nhưng implant không có dây thần kinh nên không có cảm giác đau.)
Vì vậy, những ai đã cấy ghép implant nên đến
nha khoa để kiểm tra định kỳ thường xuyên.
Tháo implant cho tất cả các trường hợp là không đúng
Tùy thuộc vào mức độ tiến triển của viêm quanh implant và
tình trạng các răng xung quanh mà có thể cân nhắc 3 phương pháp điều trị chính
: phẫu thuật thẩm mỹ implant, tái phẫu thuật implant và cầu răng implant.
(Tham khảo hình ảnh bên dưới)
Để giải thích chi tiết hơn nội dung phía trên.
(1) Phẫu thuật thẩm mỹ Implant
Phương pháp điều trị ngăn chặn sự phát triển của vi khuẩn và tình trạng mất xương thêm bằng cách loại bỏ các mắc xoắn trụ impalnt(= thẩm mỹ implant).
: Khi độ sâu tiêu xương xung quanh nằm trong khoảng 1/3 ‘chiều dài trụ implant’
(tương ứng với vùng màu xanh lá cây trong hình trên)
Đây là một lựa chọn điều trị mà bạn có thể muốn xem xét.
Nếu mô xương đã tan chảy còn khoảng 1/3 trụ implant
thì 2/3 trụ implant vẫn cố định vào xương nướu nên
ít có nguy cơ trụ implant bị lung lay hoặc rơi ra ngoài
Vì vậy, không cần tháo implant ra nữa,
Nó có thể được điều trị dễ dàng bằng Implantoplasty (phẫu thuật thẩm mỹ implant).
Đúng như tên gọi của phương pháp điều trị,Implantoplasty loại bỏ các
mắc xoắn lộ ra của trụ (=phẫu thuật thẩm mỹ implant) và ngăn không cho thức ăn bị mắc kẹt,
do đó loại bỏ không gian cho vi khuẩn phát triển.
Mặc dù phương pháp điều trị này không tái tạo lại xương nướu một cách đáng kể
nhưng nó có tác dụng tái tạo/phục hồi xương ổ răng nhẹ và ngăn ngừa sự phát triển thêm của vi khuẩn và mất xương ổ răng.
Nói cách khác, viêm quanh implant có thể được điều trị bằng một ca phẫu thuật cấy ghép đơn giản kéo dài khoảng 10 phút.
(2) Tái phẫu thuật implant
Phương pháp điều trị là Implant được tháo ra, tái tạo xương ổ răng sau đó trồng lại implant tại vị trí cũ.
: Độ sâu tiêu xương xung quanh implant lớn hơn 1/3 ‘chiều dài trụ implant’ (tương ứng với vùng màu đỏ trong hình trên)
Đây là phương pháp điều trị có thể cân nhắc khi mức độ tiêu xương ổ răng không lan rộng.
Nếu hơn 1/3 xương nướu đã tan chảy thì có thể nói viêm quanh implant đã tiến triển ở mức độ đáng kể.
Lúc này, do chiều dài của implant cố định vào xương nướu chưa đến 2/3 nên
nền tảng để nâng đỡ bản thân implant là chưa đủ.
Vì vậy, các triệu chứng như túi độn bị rung hoặc rơi ra ngoài bắt đầu xảy ra.
Tại thời điểm này, nếu phạm vi tiêu xương nướu không rộng (= trong vòng 1 đến 2 răng),
phương pháp điều trị là loại bỏ implant có vấn đề, thực hiện ghép xương,
tái tạo xương nướu và trồng lại implant ở cùng một vị trí có thể được xem xét.
Mặc dù bạn có thể mong đợi hiệu quả tái tạo xương nướu đáng chú ý
nhưng thời gian điều trị để phục hồi xương ổ răng có thể khá dài.
(3) Cầu răng Implant
Phương pháp điều trị giúp tái tạo xương sau khi tháo implant ở khu vực xảy ra viêm quanh implant, nhưng thay vì trồng lại implant ở
cùng khu vực, implant được trồng ở khu vực lân cận có xương nướu chắc khỏe và được kết nối bằng cầu răng.
: Độ sâu tiêu xương xung quanh implant lớn hơn 1/3 ‘chiều dài trụ implant’ (tương ứng với vùng màu đỏ trong hình trên)
Đây là phương pháp điều trị có thể được cân nhắc khi mức độ tiêu xương nướu lan rộng.
So với (2) điều này áp dụng cho những trường hợp xương ổ răng bị mất trên diện rộng.
Thông thường, trong trường hợp này, rất có thể không chỉ chiều cao mà cả chiều rộng của xương nướu cũng bị thu hẹp.
Thông thường, để đặt implant cần có chiều rộng xương (độ dày xương nướu)
lớn hơn đường kính của trụ implant
ít nhất 3 mm để tái tạo lại xương nướu
đủ để trồng lại implant trong trường hợp mất xương nướu rộng.
Thời gian điều trị có thể kéo dài hơn nhiều so với (2).
Điều này là do cả chiều rộng và chiều cao của xương ổ răng đều phải được tái tạo lại.
Ngoài ra nếu muốn đặt lại trụ Implant ở vùng tái tạo xương nướu,
bạn phải đợi cho đến khi xương nướu lành hẳn và cứng lại ở mức độ nào đó.
Vì vậy, người bệnh cần phải nỗ lực đi theo bác sĩ mà không thấy mệt mỏi.
Tuy nhiên, vì bệnh nhân bình thường không muốn đến nha sĩ trong thời gian dài
nên chúng tôi khuyên bạn nên điều trị cầu răng bằng cấy ghép thay vì phẫu thuật chỉnh sửa cấy ghép.
Vì điều trị cầu răng implant dựa trên xương ổ răng vốn đã chắc khỏe
nên không cần phải đợi nướu phục hồi, điều này rút ngắn đáng kể thời gian điều trị và
giảm chi phí ghép xương, nên đây trở thành phương pháp điều trị mang lại mức độ hài lòng cao cho bệnh nhân.
Bây giờ tôi sẽ giải thích những nội dung được giải thích ở trên
một cách dễ hiểu hơn thông qua các trường hợp bệnh nhân thực tế.
Khoảng 3 đến 4 ngày trước răng cửa hàm dưới đã bị lung lay
và rụng tự nhiên đã tìm đến Nha Khoa
Như bạn có thể thấy trong bức ảnh bên dưới,
một số implant đã được trồng tại một nha khoa khác.
(Hình bên dưới) Tình trạng viêm xung quanh trụ implant đã cấy ghép trước đó khiến nướu bị tụt xuống và
chân răng (xương ổ răng) nâng đỡ răng bị mất khiến răng tự nhiên bị rụng.
(Ảnh bên dưới) Chúng ta hãy xem kỹ hơn bức ảnh toàn cảnh 3D.
Bạn có thể thấy đường viền nướu vốn đáng ra phải là
đường chấm màu xanh lam nay đã chìm xuống đường
viền màu vàng đậm nằm ở đầu chân răng.
Khi nướu đã tụt đến mức này thì việc răng rụng cũng không có gì lạ,
răng tự nhiên bên cạnh đã ăn sâu vào chân răng nên sẽ rụng sớm thôi.
(Hình bên dưới) Nếu quan sát tình trạng viêm xung quanh trụ implant,
bạn có thể thấy xương nướu ở vùng răng cấy ghép phía dưới đặc biệt bị lõm xuống so với các vùng khác.
(Vạch liền màu vàng là đường xương nướu)
Ngoài ra, xác nhận xương nướu răng hàm trên đã tụt xuống đáng kể, chỉ bằng một nửa so với trụ implant.
Cả hàm trên và dưới đều là những biểu hiện điển hình của viêm quanh implant.
Như trong ảnh bên dưới, chỉ có phần đầu của chân răng implant bị mắc kẹt trong nướu,
có thể thấy nó dính chặt vào nhau như thể sắp rụng ra.
Khu vực cấy ghép răng phía trước của bệnh nhân thực tế có tình trạng tương tự như ảnh bên dưới.
(Trước khi điều trị tôi không biết ảnh miệng của bệnh nhân nên đã xóa và thay bằng ảnh để tham khảo.. ^^;;)
Nguồn : www.peri-implantitis.info
Như đã giải thích ở trên, nếu tiêu xương ổ răng ở mức độ này thì các
trụ implant hiện có phải được loại bỏ và phải thực hiện phẫu thuật lại hoặc điều trị cầu răng.
Vậy còn các răng implant khác thì sao? Chúng ta có nên loại bỏ tất cả chúng?
Tôi sẽ gợi ý cho bạn ở hình bên dưới.
(Đường liền màu vàng là đường xương nướu nâng đỡ răng và chân răng implant)
Như đã giải thích ở trên, cấy ghép ① và ②
có xương nướu đã tan chảy hơn 1/3 chiều dài của trụ implant cần phải được loại bỏ.
Ở phần ① và ②, như trong ảnh,
độ sâu của xương ổ răng bị mất sâu và lan rộng,
do đó thay vì trồng lại implant ở khu vực đó,
implant được trồng ở xương ổ răng xung quanh tương đối khỏe mạnh
và cầu răng implant được kết nối . Bạn có thể lên
kế hoạch cho phương pháp điều trị ‘cầu răng implant’.
Trong trường hợp cấy ghép số ③,
có thể xây dựng kế hoạch điều trị để ngăn ngừa tình trạng
viêm nặng hơn và mất xương nướu thêm thông qua phẫu thuật thẩm mỹ
Implant mà không cần tháo implant đã cấy và để cứu implant hiện tại càng nhiều càng tốt.
Ảnh dưới đây là ảnh chụp X-quang toàn cảnh quá trình đang điều trị.
Răng cửa hàm trên và hàm dưới đã phải tháo trụ implant do tiêu xương nướu nhiều do viêm quanh implant.
Ngoài ra, việc điều trị cấy ghép implant cũng được thực hiện ở các răng hàm
trên vốn chưa có răng và các răng hàm dưới sẽ rụng tự nhiên trong thời gian sắp tới.
Ngoài ra, một phẫu thuật thẩm mỹ implant đơn giản đã được thực hiện trên implant
hiện có ở phía răng hàm bên trái để ngăn ngừa mất thêm xương nướu.
(Hình bên dưới) Ở răng cửa trên và dưới nơi implant đã được tháo ra,
xương nướu được tái tạo thông qua ghép xương cùng lúc với việc implant được tháo ra.
Có vẻ như xương nướu vốn bị lõm xuống đã phục hồi trở lại hơi phẳng.
Tái tạo xương sau khi tháo implant
(Hình bên dưới) Ngoài ra, do răng bị mất đã lâu bị bỏ quên ở vùng răng hàm trên,
xương ổ răng còn lại không nhiều nên xương ổ răng được gia cố bằng phương pháp
‘nâng xoang hàm trên’ rồi tiến hành điều trị cấy ghép implant.
Để giúp bạn nhai thức ăn lành mạnh như trước đây,
chúng tôi bắt đầu điều trị răng hàm của bạn một cách nhanh chóng.
Ảnh bên dưới là ảnh chụp X-quang của mão răng implant đã hoàn thiện cho răng hàm đầu tiên.
Vùng răng cửa hàm dưới bị tiêu xương nướu nhiều nhất.
Chiều cao xương nướu gần như bình thường.
sự phục hồi đáng chú ý được xác nhận.
(Ảnh bên dưới) Đây là ảnh X-quang toàn cảnh được chụp sau khi bộ phận giả cấy ghép cuối cùng được hoàn thành.
Như đã giải thích ở trên, vùng răng cửa nơi xương hàm bị tiêu dần và yếu đi
đã được phục hồi bằng cách tái tạo lại xương nướu, nhưng không trồng lại trụ implant tại khu vực đó,
trụ implant lại được trồng vào vùng xương nướu khỏe mạnh xung quanh và kết nối với cầu răng.
Cấy ghép implant răng hàm bên trái được điều trị bằng phẫu thuật thẩm mỹ implant để ngăn ngừa mất xương hàm thêm.
Ở ảnh sau trên, răng cửa dưới nhìn khá dài nhưng nếu nhìn ảnh
thực tế bạn sẽ không có cảm giác như vậy chút nào.
Ảnh bên dưới là ảnh chụp hoàn chỉnh bằng miệng.
Vì tính thẩm mỹ là khía cạnh quan trọng nhất của răng cửa nên
chúng tôi đã thêm vật liệu sứ màu hồng vào
những vùng nướu có vẻ hơi thụt vào để tạo vẻ tự nhiên.
(Trong phim X-quang bên trên, ngay cả vùng nướu cũng có màu trắng,
khiến răng trông dài hơn, nhưng thực tế thì bạn có thể thấy tính thẩm mỹ đã được cải thiện đáng kể. ^^)
Chúng tôi rất vui mừng vì quá trình điều trị đã kết thúc thành công và
bệnh nhân đã lấy lại được cảm giác ăn nhai khỏe mạnh như trước ^^
Tôi xin gửi lời cảm ơn chân thành đến những bệnh nhân đã tin tưởng và điều trị tốt trong thời gian dài.
Xin cảm ơn những bệnh nhân đã cho phép chúng tôi đăng ảnh lâm sàng của họ lên blog của mình để giúp đỡ những người
khác có triệu chứng tương tự. Những bức ảnh trên blog này được đăng với sự đồng ý bằng văn bản của bệnh nhân.
Bài đăng này được viết bởi Kim Jeongki, giám đốc Nha khoa Dasan Barun.
[Nguồn] 3 cách điều trị viêm quanh implant Tác giả Nha sĩ đi xe đạp